... плащания възлизат на приблизително $1660. Домакинство, което печели $5545 на месец или приблизително $66 500 годишно, може да управлява тези разходи с относителна лекота.
Трябва Живеете - Новини
Когато става въпрос за здравето ви малките ежедневни навици могат
...... и диабет – които също влияят на продължителността на живота.Четете още: 3 съвета как да се наслаждаваме на джънк храна и да останем във форма
Феноменът на столетниците като най бързо растящата демографска група в световното
...... играе роля в постигането на изключителна дълголетие, откриваемите разлики в биомаркерите много преди смъртта предполагат, че гените и начинът на живот също могат да влияят.
Ако искате да живеете комфортно в някой от най големите градове
...... SmartAsset.“ Това несъмнено се отразява на това колко далеч отиват доходите в големите градове, тъй като заплатите не се поддържат“, каза ДеДжон пред CBS MoneyWatch.
Смъртната присъда на Навални беше обявена преди 3 години като
...... граница и във форумите. "Неговото място беше в Русия, на площадите, сред хората", поясни той. "Хитлер и Путин имат една методология на действие", уточни Чавдар Стефанов.
Ако притежавате – или дори наемате – имот във Флорида
...... и броя на спалните при закупуване на жилище.„Ние знаем къде има рискове в системата, но също така знаем как да премахнем тези рискове от системата.“
Продължителността на нашия живот се определя от редица фактори някои
...... политиката за здравеопазване“, отбелязват изследователите.Очакваната продължителност на живота в Обединеното кралство в момента е около 80 години за мъжете и 84 години за жените.Превод: GlasNews.bg
Все повече двойки по света си купуват общо жилище преди
...... пазар, помислете за използване на спестовна сметка с висока доходност. "Пазарът може да се срине точно тогава, когато са необходими парични средства", допълва Къртис.
Вероятно много хора които имат жилище но не живеят в
...... различни финансови институции. Разпореждането с този ресурс ще може да се извършва от председателя на управителния съвет въз основа на решение, прието от общото събрание.
Каква е тайната за дълъг живот Добри гени добра храна
...... са религиозни, обръщат специално внимание на семейството и прекарват много време в отдих на открито - вероятно на яхти в Монте Карло. Изображение: iStock Photos
Какво трябва да ядем пием и правим за да живеем
...... кожа. 12. Физически упражнения Редовната физическа активност доказано подобрява качеството на живот. За да се радвате на жизненост и дълголетие е нужно да тренирате поне 4 дни седмично.
В качеството си на дългосрочна стратегия комфортът е опасен Независимо
...... да разберем какво може да ни каже светът за бъдещето, въпреки че отговорите на всички въпроси са точно пред нас … Вторият… Цялата статия
За танца на мистерията по острието на живота така
...... да проявявате дълбока загриженост и да оставате непривързани. Това е танцът на мистерията по острието на живота. От: „Най-важните неща“, Карън Уайът, ИК Хермес Снимка:
§ Изхвърлете излишното Разделете си със старите си вещи
...... момента, в който се откъснете, в живота ви ще се влее ново изобилие. От: „Изкуството да живеем просто“, Шунмьо Масуно, изд. „Колибри“, 2019 Снимка: scmp.com
При покупка или наемане на апартамент търсите такъв в който
...... В крайна сметка това е щастливо число и носи само добри събития на всички, които вярват в него. Хората от тази зодия са точно такива.
Всички сме дошли да живеем на този свят въпросът е
...... да постигнат направеното от нас. Но, това ще стане само, ако не се поддаваме на натиска на чуждото мнение и действаме според собствените си ценности. .
Животът е пред вас вие сте хората които може да
...... се отказвайте, а се борете и си защитавайте правата. Това е начинът да успеете в живота“, завърши Иван Гешев открития урок пред учениците от професионална гимназия „Хенри Форд“.
Животът е пред вас вие сте хората които може да
...... на гимназията, Петър Белчев, зам.-ръководител на Военно-окръжна прокуратура-София, Теодора Тодорова от Софийска районна прокуратура и следовател Тихомир Николов от Следствения отдел към Окръжна прокуратура-София.Youtube Video
Животът е пред вас вие сте хората които може да
...... борете и си защитавайте правата. Това е начинът да успеете в живота“, завърши Иван Гешев открития урок пред учениците от професионална гимназия „Хенри Форд“.
Животът е пред вас вие сте хората които може да
...... се отказвайте, а се борете и си защитавайте правата. Това е начинът да успеете в живота“, завърши Иван Гешев открития урок пред учениците от професионална гимназия „Хенри Форд“.
Животът е пред вас вие сте хората които може да
...... се отказвайте, а се борете и си защитавайте правата. Това е начинът да успеете в живота", завърши Иван Гешев открития урок пред учениците от професионална гимназия "Хенри Форд".
Украинският президент Володимир Зеленски днес заяви че Израел ще трябва
...... президент.Министър-председателят на Израел Нафтали Бенет проведе няколко телефонни разговора и със Зеленски, и с Владимир Путин в последните седмици в опит да приключи конфликта.Вижте още:
Среднощни спазми и започвате неравна борба за намаляване на болката
...... винаги можете да ядете или да имате каквото искате, без да се налага да го чакате, дори и да е в малките часове на деня.
Не всички преработени храни са еднакво вредни и това вероятно
...... да правите през нощта Нощта е време за сън и всяка друга дейност, различна от спането, дава негативно отражение върху пълноценното възстановяване на тялото н...
Изследванията показват че един на всеки пет смъртни случая се
...... но с мярка. Не забравяйте, че ако на вас не ви пука колко ще живеете, хората, които ви обичат не мислят така. Още от ЛЮБОПИТНО:
Търси се иконом за средновековен замък Кандидатите трябва да могат
...... изберат коледна класика. Сред предимствата на Review.Org за целта участниците са получили £1870 в брой и безплатен достъп до Netflix и Amazon Prime.По публикацията работи:
Българските граждани в чужбина могат да подават заявления
...... карта, а за гражданите, пребиваващи извън ЕС – и шофьорската си книжка, като подадат заявление в електронен формат само с използването на квалифициран електронен подпис.
Меган Маркъл направи ново изявление относно смъртта на афроамериканеца Джордж
...... живота на афроамериканците.„Вие сте готови, имаме нужда от вас. Горда съм с всеки един от вас. Ще ви стискам палци“, завърши речта си Меган.Източник: tialoto
Домът не е просто четири стени Това е мястото където
...... Домът не е просто четири стени. Това е мястото, където се чувстваме най-топло и уютно.
Свикнете да живеете с този коронавирус Един два месеца той ще
...... студенти не са рисковата група, която е причина за старта на инфекцията. Имаме категорични данни за това", заяви ректорът на университета проф. д-р Славчо Томов.
Всеки от нас има любимо място на което мечтае да
...... известна със своите красиви и романтични улици, които най- добре биха подхождали на личността на Рибите. Риби, не се колебайте, а стягайте куфарите към Венеция!
Той коментира и Преспанското споразумение с Македония По думите му сделката
...... реално според данни на Евростат е възлизала на 684 евро, защото работещите в Гърция продължават да получават 14 заплати годишно. Предкризисното равнище е 751 евро.
В представите ни за идеална връзка или брак никъде не
...... Кои са другите стъпки, които всяка една потисната жена трябва да предприеме, за да сложи край на кошмара, в който живее, може да прочетете в jenata.blitz.bg.
Надали сте чували за малката швейцарска община Райнау в която
...... стартира проекта през 2019 година е още рано да се каже, защото няма осигурено финансиране. Планът е то да дойде от дарения и фондации.
Това съобщи сръбският министър по демографската политика Славица Джукич Деянович
...... се надява да стане член на съюза до 2025 г., е 517 евро, а нетната е 377 евро. Минималната заплата в страната е 245 евро.
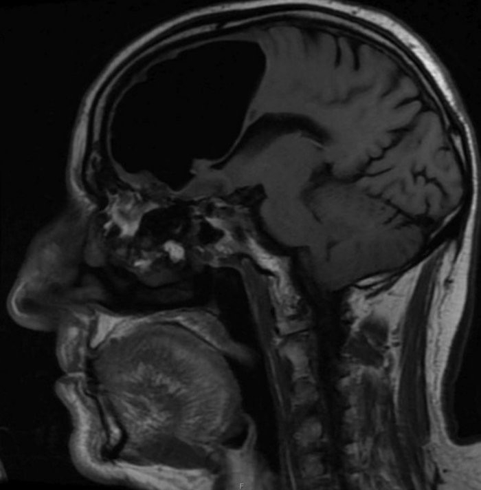
Ирландските медици съобщиха за един от най необичайните случай в своята
...... помощ и наблюдението над мъжа в течение на 12 седмици показали, че откритите „дефекти“ в главата му не представляват никаква опасност за живота му.
Ирландските медици съобщиха за един от най необичайните случай в своята
...... над мъжа в течение на 12 седмици показали, че откритите „дефекти“ в главата му не представляват никаква опасност за живота му. Превод и редакция: БЛИЦ
Германия е заплашена от съдебни действия от страна на Европейската
...... София беше въведен "зелен билет" от 1 лев за пътуване по всички линии на градския транспорт в дни с високи нива на фини прахови частици.
Преди време ви разказахме как може да спечелите 50 000 евро
...... денонощието последните новини - такива, каквито са, от Света, България и Варна!Изпращайте вашите снимки на [email protected] по всяко време на дежурния редактор!За реклама виж - https://petel.bg/advertising-rates.html
Преди време ви разказахме как може да спечелите 50 000
...... с имот в италианското градче, може да кандидатства до средата на януари, а възнаграждението е великолепна гледка от собствените прозорци. Източник: Deutsche Welle и Дарик
Снимка УикипедияМексиканският курорт Канкун ще плати 50 хиляди евро за
...... денонощието последните новини - такива, каквито са, от Света, България и Варна!Изпращайте вашите снимки на [email protected] по всяко време на дежурния редактор!За реклама виж - https://petel.bg/advertising-rates.html
Местните власти търсят да назначат изпълнителен директор който да живее
...... денонощието последните новини - такива, каквито са, от Света, България и Варна!Изпращайте вашите снимки на [email protected] по всяко време на дежурния редактор!За реклама виж - https://petel.bg/advertising-rates.html
Мексиканският курорт Канкун ще плати 50 хиляди евро за този
...... си, като всичко това е насочено към популяризирането на мексиканския град на американския пазар. Всички разходи на "професионалния турист" ще бъдат поети от местните власти.
Между изявленията на Доналд Тръмп за Иран все по нестабилните действия
...... отдалечена географски от районите, участващи в глобални конфликти (като Америка, Северна Корея, Русия и Иран), което я прави най-доброто скривалище в случай на световна война.
Париж е мечтана дестинация за много хора по света Някои
...... Вие сте виртуоз в смесването на класически и съвременни мебели.7. Що се отнася до вас, изцяло бялото спално бельо е единствената опция.ПРОЧЕТЕТЕ ЦЯЛАТА СТАТИЯ ТУК
Париж е мечтана дестинация за много хора по света Някои
...... си почивате.9. Аларменият ви часовник е Cartier.10. Никога не отказвате багети и сирене.11. Колекционирате спомени от Париж (кой ще откаже една мини Айфелова кула?) /profit.bg
Куркумата е една от най полезните подправки а чаят от куркума е превъзходен
...... е добре първо да се конслутирате с лекар. Куркумата, разбира се, извън кулинарната си употреба, не бива да се използва от деца до 6 години.
Добре е всеки от нас да се интересува от здравословното
...... ще е абсолютно излишно, а дори може и да е вредно. Вие може да се чувствате добре и без да следвате модата на различни продукти.

































