... болестта на Алцхаймер, тогава кръвните тестове ще бъдат жизненоважни.“Говорител на NHS England каза: „Тестването на биомаркери на базата на кръв е вълнуваща област на иновация.“
Може Диагностицира - Новини
Симптомите за заболяването на всеки са различни и тази Седмица
...... здраве“, подчертавайки колко е важно да говорите с личния си лекар или да потърсите консултация, ако имате нужда. Имате ли история за споделяне? Имейл: [email protected]
Федералното управление по храните и лекарствата на САЩ FDA одобри
...... брой потребители и сканирания. Дори едно такова устройство за малка клиника или болница със сигурност бързо ще възвърне всички разходи за сметка на спасените животи.
Система с изкуствен интелект ИИ може да диагностицира рано деца
...... граничната зона между аутизма и типичното развитие, каза съавторът на изследването проф. Айман ел Баз, ръководител на биоинженерния факултет на университета, в имейл до ЮПИ.
Система с изкуствен интелект ИИ може да диагностицира рано деца
...... граничната зона между аутизма и типичното развитие, каза съавторът на изследването проф. Айман ел Баз, ръководител на биоинженерния факултет на университета, в имейл до ЮПИ.
Изследователи от Института по неврология към Лондонския университет UCL и
...... Ето защо в някои случаи (включително при диагностициране на шизофренията) един по-неутрален разговор с по-интроспективен изкуствен интелект може да бъде от голяма полза за процеса.
Учените са идентифицирали характеристики на ретината които могат да се
...... лечението на автоимунното заболяване. В дългосрочен план двата резултата са важни както за диагностичния протокол на множествената склероза, така и за превенцията на очните заболявания.
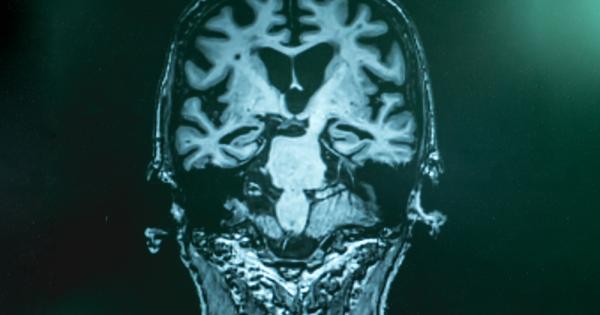
Около 50 млн души по света живеят с деменция и
...... само поставя диагноза, но и казва на хората какво могат да очакват за в бъдеще, т.е. как би следвало да се развие самото заболяване. Източник: IFLScience
Изследователи от Имперския колеж в Лондон създадоха нов и лесен
...... Делбрюк“ в Берлин. Според тях той ще даде тласък на биомаркерната диагностика. Резултатите от предварителните лабораторни изследвания на теста са публикувани в Nature Nanotechnology. Източник: Medical Xpress
Ако искаме да създадем ефективни лечения и дори лек за
...... подобрят по такъв начин, че да може да се извършва и извън лабораторни условия. Изследването е публикувано в Journal of the American Chemical Society. Източник: Science Alert
Разработена е умна тоалетна която може да диагностицира болести на
...... каже да ядем повече фибри или избрани хранителни субстанции, или да ни помогне да разберем каква храна е провокирала противен стомашен случай, заключват от Metro.
През 2012 г Моти Шниберг продава стартъпа си за разпознаване
...... гена не открива нови възможности за лечение, казва Марбах, но може да доведе до последващи изследвания, които да го направят.Повече технологични новини може на намерите .
Ако трябва да намерим нещо хубаво в настоящата ситуация с
...... услуга, която ни напомня да си мием ръцете, а здравните съвети, които дава, идват директно от базата данни на Обществените здравни услуги на САЩ. /lifestyle.bg
Ако трябва да намерим нещо хубаво в настоящата ситуация с
...... с услуга, която ни напомня да си мием ръцете, а здравните съвети, които дава, идват директно от базата данни на Обществените здравни услуги на САЩ.
Ако трябва да намерим нещо хубаво в настоящата ситуация с
...... услуга, която ни напомня да си мием ръцете, а здравните съвети, които дава, идват директно от базата данни на Обществените здравни услуги на САЩ. /lifestyle.bg
td uid 42 5ca59ba6b9dd6 rand td a rec img text align left td uid 42 5ca59ba6b9dd6 rand td a rec img img margin 0 auto 0 0 Основателят на Microsoft е убеден че
...... Accelerator, която има за цел да ускори този процес. Неговите приятели Джеф и Макензи Безос също инвестираха в Diagnostics Accelerator. .td_uid_43_5ca59ba6ba160_rand.td-a-rec-img{text-align:left}.td_uid_43_5ca59ba6ba160_rand.td-a-rec-img img{margin:0 auto 0 0}














