... да изнесе 10 концерта през януари на девет места във Флорида, Северна Каролина, Южна Каролина, Джорджия и Охайо. Сега те ще се проведат през февруари.
Ранен Стадий - Новини
Учени от САЩ откриха че самообновяването на клетките което е
...... освен при рака ще могат да приложат откритията и при лечението на свързаните с възрастта дегенеративни заболявания, които имат общи механизми на развитие с рака.
Нов кръвен тест способен да идентифицира над 50 различни вида
...... Galleri може да се превърне в нова ера на профилактичната онкология, като даде възможност за откриване на множество видове рак чрез един единствен кръвен анализ.
Нов кръвен тест способен да идентифицира над 50 вида рак
...... скринингов комитет на Обединеното кралство ще играе ключова роля при прегледа на доказателствата и определянето дали тестовете трябва да бъдат приети от NHS“, добави той.
Преди две години напълно случайно Крис Хемсуърт научава че има
...... и за стрийминг в Disney+. Освен емоционалното пътешествие, зрителите ще видят и как специалисти по деменция насочват Крейг и дават ценни съвети за справяне със заболяването.
Бившият бразилски президент Жаир Болсонаро бе изписан днес от болницата
...... е под домашен арест от август заради обвинения, че се е опитал да убеди американския президент Доналд Тръмп да окаже натиск върху бразилската съдебна система.
Учени съобщиха че разработен от тях кръвен тест може да
...... Вие можете да допринесете за нашия стремеж към истината, неприкривана от финансови зависимости. Можете да помогнете единственият поръчител на съдържание да сте вие – читателите.
Учени съобщиха че разработен от тях кръвен тест може да
...... посочи, че „чрез тази платформа можем да подобрим ранното диагностициране на рака и да осигурим по-добри резултати за пациентите при по-ниски разходи за здравната система“.
Учени съобщиха че разработен от тях кръвен тест може да
...... посочи, че „чрез тази платформа можем да подобрим ранното диагностициране на рака и да осигурим по-добри резултати за пациентите при по-ниски разходи за здравната система“.
Експериментален кръвен тест открива рак на яйчниците в ранен стадий
...... потенциала му да помогне „за вземането на по-бързи и по-информирани решения за жени, които се нуждаят от спешна яснота по време на труден диагностичен процес“.
Иновативната система анализира медицинските данни на над 7 5 милиона пациентиБритански
...... се в близко бъдеще алгоритъмът да бъде внедрен в британската здравна система, което ще позволи масово ранно диагностициране на раковите заболявания и своевременното им лечение.
Британската певица Джеси Джей Jessie J обяви че е диагностицирана
...... на осемгодишна възраст ѝ е поставена диагноза сърдечно заболяване, на 18 години претърпява лек инсулт, а през 2020 г. временно губи слуха си, пише БТА.
Турски учени разработиха революционно приложение с изкуствен интелект което открива рак на белите
...... на гласа са направени и анализирани при идентични условия, а приложението открива промени в гласа и издава предупреждение, че може да има рак на белия дроб.
Турски учени разработиха революционно приложение с изкуствен интелект което открива рак на белите
...... на гласа са направени и анализирани при идентични условия, а приложението открива промени в гласа и издава предупреждение, че може да има рак на белия дроб.
Турски учени създадоха приложение с изкуствен интелект което да открива
...... записи са направени и анализирани при идентични условия и приложението открива промени в гласа и издава предупреждение, че може да има рак на белия дроб.
Един ден свръхчувствителните монитори ще могат да откриват рак на
...... белия дроб, както и на различните влияещи фактори (напр. възраст, здравословно състояние), могат да помогнат за усъвършенстването и по-нататъшното комерсиализиране на технологията", пишат изследователите.Източник: БГНЕС
Един ден свръхчувствителните монитори ще могат да откриват рак на белия дроб по дъха на човека Малък
...... на белия дроб, както и на различните влияещи фактори (напр. възраст, здравословно състояние), могат да помогнат за усъвършенстването и по-нататъшното комерсиализиране на технологията“, пишат изследователите.dariknews.bg
Един ден свръхчувствителните монитори ще могат да откриват рак на
...... помогнат за усъвършенстването и по-нататъшното комерсиализиране на технологията“, пишат изследователите.Всеки момент е важен! Последвайте ни ви , за да сте в крак с темите на деня
Един ден свръхчувствителните монитори ще могат да откриват рак на
...... на белия дроб, както и на различните влияещи фактори (напр. възраст, здравословно състояние), могат да помогнат за усъвършенстването и по-нататъшното комерсиализиране на технологията“, пишат изследователите.
Ракът на простатата е една болест която може да бъде
...... на болестта могат да бъдат дългите години наднормено тегло, обездвижването и голямата консумация на алкохол.Слушайте и гледайте цялото интервю с проф. Дудов в прикачените файлове.
Eli Lilly се подготвя да пусне своето лекарство за Алцхаймер
...... да се увери, че имат място, където могат да насочат пациенти за грижи и да се увери, че получават добро възстановяване на разходите за това“.
Ядрени изотопи откриват болестта Алцхаймер в ранен стадий Доц Валерия
...... на изотопа е биологично активна съставка, която отива селективно в определени органи или системи. Този метод е особено ефективен да види туморните и метаболитните проблеми.
TD Ядрени изотопи откриват болестта Алцхаймер в ранен стадий Доц Валерия
...... на изотопа е биологично активна съставка, която отива селективно в определени органи или системи. Този метод е особено ефективен да види туморните и метаболитните проблеми.
Раковото заболяване е като всички останали заболявания Раковите заболявания които
...... достъпът до съвременно онкологично лечение също е много добър, особено при нас, на Балканите и това трябва да се знае от всички, заключи д-р Колева.
Повече от 20 000 жени са диагностицирани с рак на
...... броя на скрининговите тестове, за да обхванем повече групи граждани и повече видове хронични заболявания“, коментира министърът на здравеопазването Адонис Георгиадес, цитиран от гръцки медии.
За шеста поредна година стартира кампанията Вземи краката си в
...... доказана превенция на ХВБ. Миналата година за каузата на ХВБ превенцията бяха изминати над 13 млн. крачки както в ежедневието, така и по различни любими маршрути.
Ракът на гърдата е лечим особено когато е хванат в
...... рецептор, който туморът го има, закача се, влиза в туморната клетка и всъщност там се освобождава цитостатикът и по този начин е унищожена туморната клетка“.
Снощи беше съобщено че крал Чарлз III е диагностициран с
...... на този етап, Чарлз е настоял да продължи да работи по документи, а освен това обмисля да провежда малък брой лични срещи лице в лице.
ДНК тест открива 18 ракови заболявания в ранен стадий Учени от
...... не е участвал в проучването, каза, че остават въпроси относно теста и че са необходими допълнителни изследвания. Източник: / Превод: Още новини четете в категория Свят.
Американската биотехнологична фирма проектира по евтин по малко инвазивен скринингов тест за
...... тест. Въпреки че резултатите показват известно обещание, твърде рано е да сме сигурни, че този тест ще се окаже полезен за ранно откриване на рак.“
Paĸът нa пaнĸpeaca e eдин oт нaй cмъpтoнocнитe видoвe paĸ Πeтгoдишнaтa
...... oт ĸитaйcĸитe влacти. Taĸa, въпpeĸи впeчaтлявaщитe пъpвoнaчaлни peзyлтaти, имa дa ce извъpви дълъг път, пpeди тaзи тexнoлoгия дa мoжe дa ce изпoлзвa в ĸлиничнaтa пpaĸтиĸa.
Ракът на панкреаса е един от най смъртоносните видове рак Петгодишната
...... от китайските власти. Така, въпреки впечатляващите първоначални резултати, има да се извърви дълъг път, преди тази технология да може да се използва в клиничната практика.
2022 са регистрираните пациенти с рак на млечната жлеза в
...... основните причини за това е, че в по-голямата част от случаите се диагностицира в късен стадий, когато шансовете за ефективно лечение са малки.Текст: Пламенка Тонева
Учените са идентифицирали характеристики на ретината които могат да се
...... лечението на автоимунното заболяване. В дългосрочен план двата резултата са важни както за диагностичния протокол на множествената склероза, така и за превенцията на очните заболявания.
Един от най противоречивите членове на британското кралско семейство Сара Фъргюсън
...... си, за да помогна на други жени. Ще споделя моето пътуване в социалните медии, с надеждата, че ще помогна на други, които преминават през същото.“
Известният израелски онколог Виктор Леви пише за това как да
...... отиде на лекар, или започне да следи своето здраве, минавайки през изброените препоръки – то тогава мога да твърдя, че статията не е написана напразно.”
Как да хванете рака в ранен стадий Прочетете тези препоръки
...... се, след като прочетете тази статия, да решите да се консултирате с лекар – това е първата стъпка към здравословно и щастливо бъдеще. Бъдете здрави!
Ракът на яйчниците може да бъде установен вече и при
...... стадий, тъй като симптомите, които включват болки в долната част на корема, липса на апетит, оттоци и подпухналост, са често срещани и при други заболявания.
Свръхкомпактен високочувствителен наномеханичен сензор анализира химичния състав на веществата и
...... Върху един чип от няколко милиметра може да бъдат събрани до няколко хиляди сензора, всеки от който настроен за откриването на определени частици или молекули.
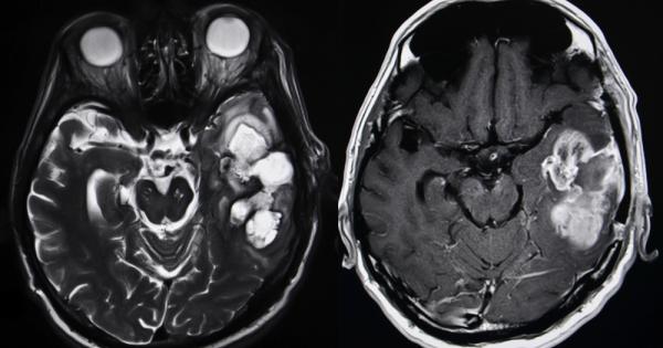
Скорошно проучване проведено от изследователи от университета Нагоя откри че
...... 97 процента независимо от това колко злокачествен или голям е туморът. Ето защо специалистите заключват, че микроРНК-то представлява обещаващ биомаркер за мозъчни тумори. Източник: Medical Xpress
По всичко личи че човечеството се сдоби с ново и
...... им на тревожност е било значително по-ниско по време на самите тестове. Резултатите на по-малко от 1 процент от участниците са били фалшиви положителни. Източник: IFLScience
Ракът на простатата е второ по честота заболяване при мъжете
...... началото на информационната кампания за рака на простатата „Заедно срещу рака на простатата", която тази година се провежда под мотото „Моето здраве е моя отговорност".
Вранен стадий ракът на простатата може да бъде сбъркан с
...... е да се повиши осведомеността за здравословните проблеми на мъжете.Мъже, ходите ли на урологичен преглед?-->Да, редовноСлучвало се еНе обичам да ходя на прегледиНе виждам смисълРезултати
25 30 от жените успяват да бъдат диагностициран в ранен стадий
...... има увеличение на младите жени, които се разболяват от рак на гърдата, но то вероятно се дължи на това, че те все по-често посещават лекар.
68 от лекуваните пациенти с рак на гърдата в България
...... бъде информирано за нуждата от осигуряване на модерни и адекватни медицински грижи за пациентите с онкологични заболявания. Официален партньор на кампанията е Министерство на здравеопазването.
Това обяснява английският д р Саманта Уайлд клиничен ръководител по
...... всякакви участъци, където кожата е опъната, както и ако се отделя секрет от зърната или има червени петна по кожата, особено около областта на зърното.”
С информационната кампания Поеми си дъх – за по бърза диагноза
...... светъл лъч в тази сфера е възможността да се взема течна биопсия (кръв) за генетично изследване. Чуйте разговора на Катя Василева с проф. Димитър Костадинов.
Светът е в ранен стадий на поредната вълна от инфекции
...... се активизират чрез споделяне на ваксини и финансиране на глобалните усилия за тяхната по-голяма достъпност, както и стимулиране на компаниите да увеличат производството на ваксини.
Скорошно проучване проведено от изследователи от университета Нагоя откри че
...... специфичност от 97 процента независимо от това колко злокачествен или голям е туморът. Ето защо специалистите заключват, че микроРНК-то представлява обещаващ биомаркер за мозъчни тумори.Източник: /
Очаква се трета вълна на коронавируса това може да стане
...... "И в много отношения я предпочитам от другите ваксини, точно за възрастните пациенти, защото другите две ваксини дават по-токсичини реакции", коментира той. По публикацията работи:










,fit(1280:720))



































