... население изразяват удивление. Те споделят, че в техните предания има истории за интелигентни животни.Вижте също: Huawei представи Flex:ai – нова технология за ефективни AI изчисления
Невероятно Откритие - Новини
Животът отвъд Земята може да е по близо отколкото си мислим… Дълбоко
...... – важен маркер за биологична активност. Източник – Pravda.ru/Превод:SafeNews Още новини четете в: Живот, Темите на деня За още актуални новини: Последвайте ни в Google News
Скорошно изследване доведе до удивително откритие фосилни останки от
...... пещера е невероятно - зъбите и другите части са почти цели, което ни позволява да изучим анатомични подробности, които рядко се срещат на други места."
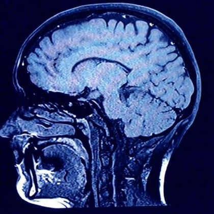
Учени разгледаха как смъртта влияе върху човешкия мозък и това
...... затворени очи и готови да ни напуснат, техните мозъци вероятно възпроизвеждат някои от най-прекрасните моменти, които са преживели през живота си,“ допълни още той.Превод: GlasNews.bg
По време на полета радарният инструмент на борда на самолета
...... поколение кампании за картографиране в Гренландия, Антарктида и извън тях. Източник: OffNews Още новини четете в: Живот За още актуални новини: Последвайте ни в Google News
21 септември традиционно се отбелязва като Световен ден на болните
...... ще доведе до нови стратегии за лекуване на пациентите. Източник: The Health Site/Превод: SafeNews Още новини четете в: Здраве За още актуални новини: Последвайте ни в Google News
Способността да превръщаме преживяванията в спомени ни дава възможност да
...... за нашето физическо и психическо здраве. Изследователите смятат, че трябва да се обърне специално внимание на мозъка, тъй като той претърпява свързани с възрастта промени.
Кога за последно видяхте необичайно оцветен омар От видовете Банана до Боуи
...... теории", казва в съобщение за медиите д-р Маркус Фредерих, професор по морски науки в Университета на Нова Англия.Не пропускайте най-важните новини - последвайте ни в
Наскоро публикувано проучване твърди че звуците на африканските слонове може
...... на извънредни новини за Fox News Digital и Fox Business. Можете да я последвате в X на @andrea_vacch или да изпратите съвети за истории на
Историята на рака е толкова стара колкото и самата история
...... са били засегнати от подобни заболявания, което подчертава важността на продължаващите изследвания в борбата с рака днес. Вкусната палитра на мексиканската кухня: От такос до чапулини
Археолозите откриха група от изгубени градове в тропическите гори на
...... „Винаги е имало невероятно разнообразие от хора и селища в Амазонка, не само един начин да живеем", каза Ростейн. „Ние просто научаваме повече за тях.“
Мумиите на четири деца и един възрастен бяха открити при
...... да падне под властта на испанските конкистадори през XVI век. Древният артефакт е открит, след като полицията е видяла група мъже да пият на улицата
Появата на мобилни телефони и други различни устройства в живота
...... време със семейството и приятелите си. Следващото поколение очаква от нас да ги научим как да бъдат възрастни. А ние просто убиваме време в интернет…”
Невероятно откритие направиха археологът доц д р Митко Маджаров и неговият
...... на Римски терми-Хисаря, се извършват по проекта на община Хисаря "Античният град Диоклецианопол (гр. Хисаря) - перлата на провинция Тракия на балнеолечението в римската империя".
Делфините са едни от най интелигентните животни на Земята Те притежават
...... съседства със социалната сложност, с която не можем да общуваме. Те обаче не са нищо повече от извънземни от морските дълбини, а не от космоса.
Над 60 000 структури създадени от древните маи разкриват мегаград
...... на хората лесно да преминават пред джунглата дори през дъждовния сезон. Ширината им пък предполага, че движението по тях е било изключително натоварено. ВИДЕО: Гватемала Източник: fakti.bg
Голямата дропла най тежката летяща птица в света изглежда се
...... доказано категорично. Авторите на този труд казват, че са необходими още изследвания, за да се потвърди, че големите дропли действително се самолекуват, като ядат растения.
Археолози откриха в южната част на израелската пустиня богаташко имение
...... изявление на ръководителите на разкопките. Високият им статус и богатство са им позволили да построят луксозно имение, което е служило за жилище и за развлечения".
Невероятно откритие направиха астрономите работещи с новоизградения космически телескоп Джеймс
...... Вселената. Но ранната Вселена - наистина ранната - е по-сложна: тя е толкова далеч, че всяка светлина, която достига до нас, е много, много слаба.
Сензационна новина за човешката коса съобщи фризьорка от Уелс Тя
...... платна за почистване на масло. Не е правилно. И изхвърляме материала от главите си в боклука, въпреки че е по-ефективен и екологичен “, подчерта жената.
Неподозирани възможности на човешката ДНК откриха учени в три различни
...... нашите емоции могат физически да променят света около нас. Така става ясно, че хората не само могат да контролират света, но и да го променят.
Открита е агора в античен град в Северна Македония съобщи
...... е рядкост за региона. Това е голям площад, в който се е развивала търговска дейност. Македонски учени се надяват мястото да привлече туристи към региона.
Учени в Турция твърдят че са открити останки от Троянския
...... До този момент това твърдение се третира повече като легенда, от колкото реалност. Направени са редица тестове, които потвърждават, че останките са свързани с гърците
Екип археолози отриха руините на древно хотелско селище в Турция
...... структура, която навярно е била използвана като дворец. За експерта най-вълнуващата находка е стъклена бутилка на три хиляди години. Вероятно това е най-старата подобна бутилка.
Полицията в Гърция откри картина на художника Пабло Пикасо съобщи
...... страната. Тогава проучването за това къде се намира беше възобновено. Тя се оценява на над шестнадесет милиона евро. Художникът лично я е подарил на Гърция.
К онсумирането само на една средна по големина гъба на
...... празничните дниНеудобна техническа грешка стана по време на срещата на ООН за климатаОтношенията между Китай и Австралия стават все по-обтегнати от 2018 г.От мрежата
Учени в Египет са открили съкровищница с над сто непокътнати
...... за район, богат на археологически находки. Вече са направени няколко подобни огромни открития. Открити са десетки статуи. Находките ще бъдат разпределени на музеите в страната.
Леонардо да Винчи е нарисувал Мона Лиза върху щрихите на
...... микрона. Комбинацията от слоеве с различна дебелина и цветове създава обема в картината, и мъглата, която разтваря контурите и ги прави толкова реалистични, отбелязват изследователите.
Лесно достъпни видове вода за уста могат да неутрализират Sars Cov 2
...... по-слабо заразен – на тези въпроси трябва да отговори клинично проучване, по организацията на каквото работят както в Бохум, така и учени в Сан Франциско.
Учени от Кралската обсерватория в Белгия установиха намаляване на сеизмичния
...... в големите градове, където транспортът е силно разреден, а хората почти не излизат от домовете си, твърдят специалистите. Учените са анализирали земното движение със сеизмометър.
НАСА е открила под повърхността на Марс тръба от лава
...... на Марс, които биха могли да защитят хората, ако дойдат на Марс от различни опасности за околната среда, включително космическо излъчване и микрометеорити. Превод: БЛИЦ
Астероидът изтребил динозаврите преди 65 милиона години е унищожил почти
...... южното полукълбо. Тя е била особена, защото черупката й е имала повече плочки, а и в зряла възраст не е можела да прибира главата си.
Според ново проучване пилешката супа не само е полезна за
...... всяка от тях описва чудодейните лековити сили на ястието. (…) Действително има свидетелства, че тези супи притежават антибиотични качества“, заяви говорител на колежа, пише "Блиц".
Учени са извършили поредица от изследвания които са установили че
...... има своя край, в един момент космосът може да престане да съществува. Това ще се случи по-рано от очакваното: след около трилион години. Превод: БЛИЦ
Хипертонията или високото кръвно налягане е рисков фактор за няколко
...... всички групи пациенти.” “Като следваща стъпка искаме да проучим кои групи пациенти всъщност имат полза от антихипертензивно лечение”, заключава съавторът на изследването проф. Елке Шефнер./zdrave.to
Международен екип от археолози откри над 2400 костни фрагмента и
...... даде по-прецизни данни за взаимодействието между хората от Теотиуакан и маите, твърдят специалистите. Контактът по всяка вероятност е станал в периода 300-350 г. сл. Хр.
Учени от университета в Брадфорд Англия откриха в Северно море
...... потъналото парче земя обаче са изцяло покрити с по-скорошни отлагания от големи реки. Учените са уверени, че скоро ще открият още следи от обитавани селища.
1057 1090 1088 1086 1080 1090 1077 1083 1085 1080 1088 1072 1073 1086 1090 1080 1082 1088 1072 1081 1074 1051 1086 1085 1076 1086 1085 1087 1086 1080 1079 1075 1088 1072 1078 1076 1072 1085 1077 1090 1086 1085 1072 1085 1086 1074 1072 1074 1080 1089 1086 1082 1086 1089 1082 1086 1088 1086 1089 1090 1085 1072
...... плаването Флиндърс за първи път се запознава с Австралия и отдава следващите близо 10 г. от живота си на изследване и картографиране на бреговете й.
1050 1088 1072 1103 1090 1085 1072 1075 1086 1076 1080 1085 1072 1090 1072 1077 1074 1088 1077 1084 1077 1079 1072 1088 1072 1074 1085 1086 1089 1084 1077 1090 1082 1072 1042 1090 1086 1074 1072 1095 1080 1089 1083 1086
...... Източната пустиня в Египет, а там откриха система от лостове, въжета и рампи, които според тях са били използвани за пренасяне на огромните камъни.
Едно от най ценните притежания бразилския Национален музей който бе унищожен
...... властите бе посочено като една от причините за тази предизвестена трагедия. Заради кризата в Бразилия властите нямат средства за поддръжката на културните обекти, отбелязва АФП.
Българи проектираха безпилотен самолет за доставки който има капацитет да
...... движи с 200 км в час ище пренася в рамките на ден нужния товар, за сметка на тридневно пътуване при използване на бусове или камиони.
Гроб с костни останки първоначално датирани от българското Средновековие 12 14
...... на разположението на гроба и особеностите на погребалния обред сочат времето 12-14 век, което е синхронно със съществувалия средновековен град Вратица, предшественик на днешна Враца.
Песента La Macarena може да спаси човешки животи увериха испански учени Те
...... правеха с известно закъснение", отбеляза Енрике Кареро Карденал от екипа. Резултатите от изследването бяха представени на конференцията на Европейското дружество по анестезиология в Копенхаген.
Рискът от преждевременна смърт при хора над 45 г се
...... е два пъти по-вероятно да умрат от коронарна болест на сърцето, отколкото тези, които консумират сладки течността от не повече от 30 милилитра на ден.
Как може да съберем 7 милиарда книги в една епруветка
...... и за лечението на рак на пикочния мехур с помощта на самозаразяване с туберкулоза.За финалисти в София бяха избрани пловдивчанката Петя Конакчиева и Рейчъл Акужор.
Повече от 60 000 скрити руини сред които пирамиди дворци
...... магистрали, позволяващи на хората лесно да преминават пред джунглата дори през дъждовния сезон. Ширината им пък предполага, че движението по тях е било изключително натоварено.
Изкуственият интелект се е научил да разпознава хората с възможни
...... може да бъде включено в списъка на медицинските процедури, насочени към предотвратяване на психични разстройства и суицидни тенденции сред хората от различни възрасти. Превод: БЛИЦ
НАСА откри осма планета в системата на далечната звезда Кеплер
...... поне три европейски държави ... 254 0 Бахамите - там, където мечтите стават реалност 78555 2 Дневен хороскоп за 15 декември 8497
Най старата и отдалечена черна дупка наблюдавана някога 800 пъти по голяма
...... звезди. Откриването на свръхмасивна черна дупка, съществувала толкова отдавна в историята на Вселената, изненадва учените. То подлага под въпрос настоящите схващания за формирането на тези обекти
За първи път в история на физиката учени постигнаха т н
...... от секундата. Но в това изследване учените за първи път постигната Бозе-Айнщайн кондензат при стайна температура, като използваха специална комбинация от светлина и материя. Източник: "Обекти"



)



























