... като научна криза,а като естествена част от научния процес. „Предизвикателствата при откриването и измерването на нанопластмаси изискват новаторство, внимание и постоянна критична проверка“, посочва той.
Микропластмаси - Новини
През последното десетилетие редица научни публикации широко отразени в медиите
...... научна криза, а като естествена част от научния процес. „Предизвикателствата при откриването и измерването на нанопластмаси изискват новаторство, внимание и постоянна критична проверка“, посочва той.
Учени от 5 турски университета – Ататюрк Синоп Реджеп Тайип
...... сол и зеленчуци. Но именно морските продукти носят основната вина в общественото съзнание. Това ни подтикна да изследваме реалния риск за човешкото здраве“, казва тя.
Ново проучване на една от най урбанизираните реки в Канада предполага
...... водосбор, който много от нас тук в Торонто познаваме добре и обичаме“, каза тя.Проучването е публикувано в академичното списание Философски транзакции А на Кралското общество.
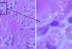
Нови изследвания разкриват тревожно натрупване на пластмасови частици в мозъка
...... методите за оценка на риска.Очаква се световното производство на пластмаса да се утрои до 2060 година, което прави въпроса за глобалната здравна политика изключително актуален.
Ново изследване показва че микропластмасите могат да проникнат в мозъка
...... за оценка на риска. Очаква се световното производство на пластмаса да се утрои до 2060 г., което прави въпроса за глобалната здравна политика изключително актуален.
Проучване Напитките в стъклени бутилки съдържат повече микропластмаси от тези
...... в напитките би изисквало много малко: отстраняване на фрагменти от метални капачки с кутия със сгъстен въздух и след това изплакването им с филтрирана вода.
Дъвките отделят микропластмаси в устатаДъвките отделят стотици микропластмаси директно в устата
...... Лоу.Според Дейвид Джоунс, изследовател от Университета на Портсмут, Великобритания, който не е участвал в проучването, производителите трябва да бъдат задължени да посочват по-подробно съставките си.
Дъвките отделят стотици микропластмаси директно в устата според резултатите от
...... Според Дейвид Джоунс, изследовател от Университета на Портсмут, Великобритания, който не е участвал в проучването, производителите трябва да бъдат задължени да посочват по-подробно съставките си.
Микропластмасите се отделят през първите осем минути от дъвченетоДъвката която
...... възможните последици за здравето от поглъщането на микропластмаси, много специалисти вече алармират за потенциалните вреди, които тези частици биха могли да причинят на човешкия организъм.
Дъвките отделят стотици микропластмаси директно в устата според резултатите от
...... Според Дейвид Джоунс, изследовател от Университета на Портсмут, Великобритания, който не е участвал в проучването, производителите трябва да бъдат задължени да посочват по-подробно съставките си.
Чаените торбички може да съдържат микропластмасиНеотдавнашно проучване публикувано в Chemosphere
...... в пластмаса храни. Въпреки че пластмасите играят ключова роля за безопасността на храните, изследователите се застъпват за по-строго регулиране, за да се намали ненужното излагане.
Неотдавнашно проучване публикувано в Chemosphere разкрива че чаените торбички могат
...... клетките, което поражда опасения за потенциални рискове за здравето, като например натрупване в тъканите и циркулация в тялото. Дългосрочните въздействия върху здравето обаче остават неясни.
Неотдавнашно проучване публикувано в Chemosphere разкрива че чаените торбички могат да отделят милиарди
...... в пластмаса храни. Въпреки че пластмасите играят ключова роля за безопасността на храните, изследователите се застъпват за по-строго регулиране, за да се намали ненужното излагане.
Неотдавнашно проучване публикувано в Chemosphere разкрива че чаените торбички могат
...... в пластмаса храни. Въпреки че пластмасите играят ключова роля за безопасността на храните, изследователите се застъпват за по-строго регулиране, за да се намали ненужното излагане.
Неотдавнашно проучване публикувано в Chemosphere разкрива че чаените торбички могат
...... в пластмаса храни. Въпреки че пластмасите играят ключова роля за безопасността на храните, изследователите се застъпват за по-строго регулиране, за да се намали ненужното излагане.
Това увеличава вероятността микропластмасите да преминат в кръвта и органите
...... 20 μm и 94% от тях - под 10 μm. Като цяло, установеното замърсяване в изследваните проби е в диапазона... Прочетете целия материал в cash.bg
Микропластмаси се откриват в почти всяка част от човешкото тяло
...... забранен в много страни поради вредата му за околната среда. Източник: БТА Още новини четете в: Здраве За още актуални новини: Последвайте ни в Google News
Вдъхновете се от седмичен обзор за това да живеете добре
...... водещ автор на American Декларация на политиката на Academy of Pediatrics относно хранителни добавки и здравето на децата. Sandee LaMotte от CNN допринесе за този доклад.
В кои държави хората поглъщат и вдишват най много микропластмаси Микропластмасите MPs
...... насърчаване на технологии за пречистване на водата“, заключиха изследователите. Източник: Daily Mail , Phys /Превод: SafeNews Още новини четете в: Свят За още актуални новини: Последвайте ни в Google News
Колко пластмаса ще искате за вечеря сър А вие госпожо Макар
...... 000-та част от инча (1 микрометър). Всичко, което е по-малко от 1 микрометър, е нанопластмаса, която трябва да се измерва в милиардни части от метъра.
Две нови проучвания описват начините по които малки микропластмаси могат
...... на извънредни новини за Fox News Digital и Fox Business. Можете да я последвате в X на @andrea_vacch или да изпратите съвети за истории на
Aрхеолози откриха микропластмаси в древни почвени проби за първи път
...... такъв, запазването на археологията in situ може вече да не е подходящо“, допълва още той.Изследването е публикувано в Science of the Total Environment.Снимката е илюстративна.
Регистрирайте се за научния бюлетин на Wonder Theory на CNN
...... органичните останки. Ако това е така, запазването на археологията in situ може вече да не е подходящо. Проучването е публикувано в Science of the Total Environment.
Микроскопични частици пластмаса са откривани досега в тъкани почти навсякъде
...... засегнат. А това не е добре", добави той.Изследването е проведено с участието и на изследователи от Медицинския колеж Бейлър и Университета на щата Оклахома.По темата
Предложение за разширяване на обхвата на правилата за замърсяване с
...... януари да предложат изменения. Очаква се парламентът да приеме окончателния си мандат за преговори през април на последното пленарно заседание преди изборите за Европейски парламент.
Някои депутати от Европейския парламент настояват за затягане на планирания закон за
...... ЕС и други страни настояват за крути мерки срещу замърсяването с пластмаси Страните се стремят към сделката на ООН за овладяване на замърсяването с пластмаси
Те са токсични за човека и околната среда но откриването
...... за пластмасови продукти и контейнери за храни и напитки, учените виждат съществен смисъл от разработването на технология за лесно засичане на МП в полеви условия.
Учени от БАН твърдят че дивите миди по българското Черноморие
...... съдържат микропластмаса, е ВЯРНО. Нито един орган обаче не проверява какво е количеството на пластмасата и как консумацията им се отразява на хората, пише БНР.
Това показва ново изследване проектирано съвместно от Ким Сеунг Киу професор
...... своята територия, така че в заведенията и по време на обществени събития да се използва посуда за многократна употреба.“, казва Евгения Ташева от „За Земята“.
Микроскопични парчета пластмаса се натрупват в почти всяка хапка храна
...... разрушители, което означава, че влияят върху отделянето на хормони в тялото. Тези разрушители са свързани с рак на гърдата, репродуктивни проблеми, астма, диабет и затлъстяване.
Двадесет и един проекта за иновации избрани сред 127 компании
...... трансгранично сътрудничество на Go Global Awards и критериите как се оценяват проекти може да гледате във видеото.Всички гости на предаването "Бизнес старт" може да намерите
Система за мониторинг с цел предотвратяване на тежки заболявания технология
...... една по-лека процедура, коментира изпълнителният директор на ИАНМСП Бойко Таков. В своите 12 предходни сесии Фондът финансира над 500 проекта с над 100 милиона лева.
Изследователи откриха микропластмаси и в антарктически сняг за първи път
...... от средата ни и организмите са повлияни от климатичните промени, предизвикани от човека. Необходими са значителни стъпки за намаляване на използването на пластмаси“, казва тя.
Микропластмасите се получават в резултат на разпадането на различни продукти
...... свързан със замърсяването, масовото производство и консумация на продукти с пластмасови опаковки. Неговата сериозност нараства с всеки изминал ден.Проучването е публикувано в сп. Environment International.
За първи път в човешката кръв е открито замърсяване с
...... открити и в плацентата на бременни жени, а при бременни плъхове те бързо преминават през белите дробове в сърцата, мозъка и други органи на плода.
Оказва се че микропластмасата присъства в човешкия организъм Учените са
...... дума? На първо място, за бързото замърсяване на нашата планета, защото микропластмасите се откриват дори в отдалечени кътчета на Земята.... Прочетете целия материал в cash.bg
Микропластмаси открити за пръв път в човешката кръв
...... клетките и да предизвикат канцерогенеза, особено като се има предвид процентното нарастване на производството на пластмаси. Проблемът става все по-належащ с всеки изминал ден". /БГНЕС
Екстракти от бамя и други слузести растения които обикновено се
...... използват в съществуващите пречиствателни станции. Сринивасан се надява процесът да бъде разширен и комерсиализиран, което ще позволи по-голям достъп до чиста и безопасна питейна вода.
Голям процент от произведените в световен мащаб пластмаси се използват
...... определени от специалистите като токсични и вредни за човешкото здраве.Тези химикали повишават риска от различни хронични заболявания, предизвикват нарушения в хормоналния баланс и имунната система.
От Еверест до Марианската падина микропластмасите са навсякъде дори
...... голяма височина. "Щом стигнат тропосферата, сякаш вече са на високоскорстна магистрала", обясни той. Изследването посочва източници на микропластмаси и в Средиземно море и Атлантическия океан.
От всички морски дарове мидите и всички видове мекотели съдържат
...... микропластмаси на грам. Най-големите потребители на миди в света са Китай, Австралия, Канада, Япония и САЩ, следвани от Европа и Великобритания, отбелязват авторите. Снимка: shutterstock
Частици микропластмаси са открити в плацентите на неродени бебета съобщи
...... болница "Сан Джовани Калибита Фатебенефратели" в Рим и ръководител на изследването. "Майките бяха в шок", добави той. Резултатите от изследването бяха публикувани в сп."Енвайърмент интернешънъл"
Снимка PexelsМорското дъно в света е осеяно с около 14
...... коментарите. Пишете директно на [email protected]. Ще обърнем внимание!За реклама в "Петел" на цена от 50 лева на ПР публикация пишете на и вижте още в - .Прочети тук -
Морското дъно в света е осеяно с около 14 милиона
...... си в списание „Frontiers in Marine Science” и твърдят, че районите с плаващи на поврхността пластмасови отпадъци обикновено имат повече микропластични фрагменти на морското дъно.
Морското дъно в света е осеяно с около 14 милиона
...... плаващи на поврхността пластмасови отпадъци обикновено имат повече микропластични фрагменти на морското дъно. "Резултатите показват, че микропластмасата наистина потъва на дъното на океана", заяви Хардести.
Над 200 000 тона миниатюрни пластмасови частици се пренасят чрез
...... казва ученият. Резултатите от изследването на публикувани в сп. "Нейчър Комюникейшънс". Те сочат, че най-дребните частици могат да летят във въздуха до месец, допълва БТА.
Международен екип учени измери рекордна концентрация от 1 9 милиона микропластмасовни
...... в моретата и океаните се изхвърлят над 10 милиона тона пластмасови отпадъци. 99 процента от тях се утаяват на морското дъно, като оформят подводни каньони.
Международен екип учени измери рекордна концентрация от 1 9 милиона микропластмасовни
...... в моретата и океаните се изхвърлят над 10 милиона тона пластмасови отпадъци. 99 процента от тях се утаяват на морското дъно, като оформят подводни каньони.
Учените са открили че един изолиран район в Пиренеите който
...... проучванията показват, че дори са достигнали Антарктика. Българското Черноморие е едно от най-замърсените с микропластмаса Микропластмасовите елементи наброяват средно 429 000 частици на квадратен километър















































