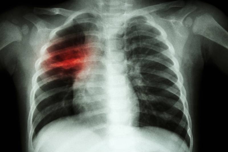
... поне година или две по-рано и са били с латентна туберкулоза. Експерти изчисляват, че около 13 млн. американци имат латентна туберкулоза и не са заразни.
Бум Туберкулоза - Новини
Франция отчита покачване на броя на заразени с туберкулоза през
...... бежанци имат отражение върху разпространението на туберкулоза. През 2022 г. във Франция е констатирано увеличение на случаите на туберкулоза вследствие на резистентни на антибиотиците бацили.
Новите случаи на туберкулоза по света са се увеличили за
...... г. туберкулозата е била на първо място в света по инфекциозни заболявания, но от 2020 г. е на второ място след КОВИД-19 и преди СПИН.
Броят на хората заразени с туберкулоза включително резистентната към лекарства
...... могат да търсят грижи навсякъде в Украйна, страната е свидетел на недостиг на ключови лекарства и властите са изправени пред предизвикателства при следенето на пациентите.
Броят на хората заразени с туберкулоза включително резистентната към лекарства
...... 2020 г. Д-р Мел Спигелман, президент на Алианса за туберкулоза с нестопанска цел, каза, че повече от десетилетие напредък е бил загубен през 2020 г.
Броят на хората заразени с туберкулоза включително резистентната към лекарства
...... могат да търсят грижи навсякъде в Украйна, страната е свидетел на недостиг на ключови лекарства и властите са изправени пред предизвикателства при следенето на пациентите.
Броят на хората заразени с туберкулоза включително резистентната към лекарства
...... пред предизвикателства при следенето на пациентите. Безплатни прегледи за туберкулоза, ръст на пациенти след пандемията Консултациите са насочени, както към възрастни, така и към деца
Рязко се увеличават болните с туберкулоза За това алармира в
...... безплатно да бъде прегледан, тестван и диагностициран в белодробните болници, подчерта д-р Стела Денчева, управител на болницата за активно лечение на пневмо-фтизиатрични заболявания „Д-р Трейман“.
Бум на болни от туберкулоза е отчетен във Врачанско сочи
...... с потисната имунна система. През изминалата седмица са регистрирани и 9 души, заразени с варицела, поясняват здравните власти. Острите респираторни заболявания са 10 случая.
Повишаване на болните от варицела и скарлатина във Врачанско e
...... 9-11, рядко 17-21 дни. Грипът и острите респираторни заболявания в областта все още са високи, като за миналата седмица са регистрирани 55 случая.










