Изключително Заразен - Новини



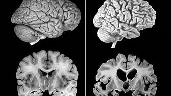
Болестта на Алцхаймер е най разпространената форма на деменция в световен

Болестта на Алцхаймер е най разпространената форма на деменция в световен

...

... Вие можете да допринесете за нашия стремеж към истината, неприкривана от финансови зависимости. Можете да помогнете единственият поръчител на съдържание да сте вие – читателите.


Епидемиологът професор д р Тодор Кантарджиев коментира наличието на коклюш във

Епидемиологът професор д р Тодор Кантарджиев коментира наличието на коклюш във

...

... ваксиниране на персонала в зимните курорти. Той завърши разговора с категоричната теза, че ваксините са ключът към предпазването на здравето и предотвратяването на сериозни инфекции.