Алцхаймер може да е заразен - при изключително редки обстоятелства
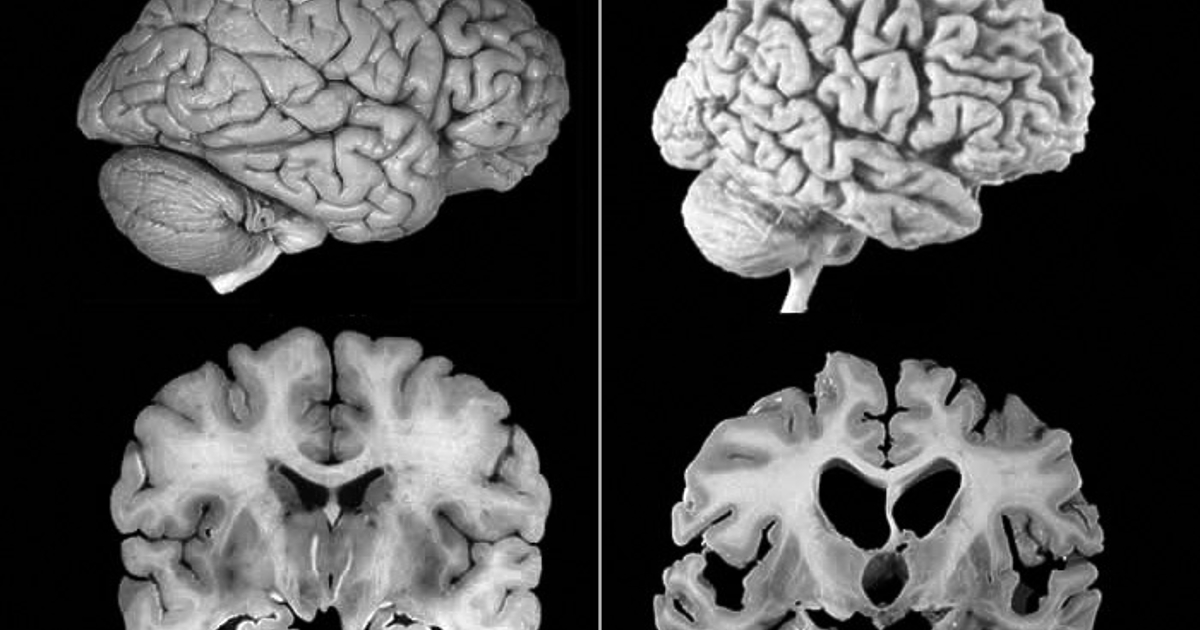
Болестта на Алцхаймер е най-разпространената форма на деменция в международен мащаб - единствено в Германия се счита, че са наранени към един милион души. По-рано бяха приети две форми на болестта, при които нервните кафези в мозъка умират: обвързваният с възрастта, така наречен непостоянен вид, е постоянно срещан, до момента в който генетичната форма е доста по-рядко срещана. Сега английски лекари пишат в списание " Nature Medicine " за извънредно необичаен трети вид, който се предава посредством доста профилирана здравна процедура, която не е употребена от съвсем 40 години.
Групата, ръководена от Джон Колиндж от лондонската Национална клиника по прионите (NPC), основава изказванието си на отчети за случаи на осем души, на които в детството им - преди 1985 година - е бил инжектиран хормон на растежа, получен от мозъчна тъкан на умряли хора. Няколко десетилетия по-късно те развиват признаци на Алцхаймер на удивително млада възраст. " Болестта на Алцхаймер към този момент би трябвало да бъде приета за евентуално трансмисивно заболяване ", написа екипът в списание " Nature Medicine ".
Германските специалисти, които не са взели участие в изследването, са малко по-предпазливи: Матиас Юкер от Института за клинични проучвания на мозъка " Херти " към Университета в Тюбинген и Германския център за невродегенеративни болести (DZNE) споделя, че връзката към момента не е ясно потвърдена. Ако тя бъде доказана, откритието ще бъде " извънредно важен резултат ". Освен всичко друго, то би било доказателство за дългогодишното съмнение, че погрешно сгънатите форми на белтъка амилоид бета могат да причинят болестта - а не са просто непряк артикул от гибелта на мозъчните кафези.
Инга Зер от Университетския медицински център в Гьотинген също е внимателна: " Данните към момента са непълни - споделя неврологът, - само че се вписват в картината. Въпросът би трябвало да бъде изследван в допълнение. "
Няма предаване на инфекцията посредством заболели хора
Едно е ясно: всички специалисти акцентират, че при ежедневната работа с заболели от Алцхаймер или при даването на медицински грижи за тях не съществува никакъв риск. Групата на Колинж е разгледала случаи на хора, които в детството си са били подложени на доста профилирана терапия заради нарушавания в растежа: На всеки от тях са били сложени по няколко интрамускулни инжекции с човешки растежен хормон (hGH), който по това време към момента се е извличал от хипофизната жлеза на мъртви хора.
От 1959 година до 1985 година единствено в Обединеното кралство с него са лекувани минимум 1848 души - лечението е употребена и във Франция, Съединени американски щати, Австралия и Германия. Практиката е прекъсната, откакто повече от 200 реципиенти по света, 80 от които в Верикобританиятво, са инфектирани с заболяването на Кройцфелд-Якоб (CJD) - рядко мозъчно заболяване, което постоянно е с съдбовен край. Инжектираното лекарство е съдържало погрешно сгънати протеини - така наречен приони - които могат да се разпространят в организма и да причинят това заболяване.
Групата на Колинг обаче акцентира, че сходно предаване е доста рядко. В Германия не е имало предаване на CJD по този способ, споделя специалистът от Гьотинген Цер, който изследва прионовите болести. " Ние щяхме да забележим това. " Сега хормонът се създава по друг метод.
Отдавна е известно, че прионовите болести могат да се предават - да вземем за пример посредством консумация на инфектирано с приони говеждо месо. От там идва и нехрофесионалното наименование „ Луда крава “. Въпреки това, по време на проучванията на смъртни случаи от CJD, при които засегнатите са били лекувани с хормон на растежа, лекарите откриват и ясно изразени отлагания на погрешно сгънатия протеин амилоид бета (Aß) в мозъците на някои от умрелите. Тези отлагания са патологична характерност на заболяването на Алцхаймер и евентуално са и нейната съществена причина.
Въпреки това не е ясно дали тези хора щяха да развият признаците на Алцхаймер, в случай че не бяха умряли от CJD и бяха живели по-дълго.
Последвалите разбори на такива препарати демонстрират, че някои от прилаганите по това време хормонални препарати в действителност съдържат и погрешно надиплен амилоид бета. Представените в този момент случаи се отнасят до хора, които са били лекувани с такива хормонални препарати и не са развили заболяването на Кройцфелд-Якоб. При петима от тях признаците на заболяването на Алцхаймер са се показали към три до четири десетилетия след инжектирането на хормоните - удивително рано, на възраст сред 38 и 55 години.
Изследователският екип не е разкрил други аргументи за това развиване, по-специално генетично влечение, в актуалното изследване. Няма и доказателства, че неналичието на самия хормон на растежа или други прилагани лечения биха могли да провокират деменция.
Вместо това откривателите допускат, че с изключение на двата известни разновидността би трябвало да съществува и трета, така наречен ятрогенна форма на Алцхаймер, провокирана от медицински ограничения. Според тях това се случва извънредно рядко. Една от аргументите за това е, че хормоналната терапия не се употребява от 1985 година насам.
Нещо повече, случаите се отнасят извънредно до получатели на препарата хормон на растежа, който освен произлиза от хипофизната жлеза на мъртви хора, само че и е подготвен по доста специфичен способ: този по този начин наименуван способ на Вилхелми не може да направи безвредни съдържащите се в него приони и амилоидни бета, се споделя в коментар в Nature.
" Хората, които описахме, са били подложени на характерно и от дълго време изоставено здравно лекуване ", акцентира Колинг в изказване от Университетския лицей в Лондон. " Те са били инжектирани с материал, за който в този момент знаем, че е бил инфектиран със свързани с заболяването протеини. Няма доказателства, че заболяването на Алцхаймер може да се предава сред хората по време на ежедневни действия или естествени медицински грижи. "
" След тази обява сигурно ще има доста следваща работа, с цел да се ревизира резултатът ", споделя Юкер. " Ако резултатът се удостовери, това ще бъде извънредно забавно от механична позиция. " Например, проучванията на лечения за заболяването на Алцхаймер, които са ориентирани против амилоид бета, биха могли да получат подтик. Това също по този начин би означавало, че синдромът на Алцхаймер е прионно заболяване - т.е. основано на погрешно нагънати протеини, които се популяризират в целия организъм.
Още по тематаПодкрепете ни
Уважаеми читатели, вие сте тук и през днешния ден, с цел да научите новините от България и света, и да прочетете настоящи разбори и мнения от „ Клуб Z “. Ние се обръщаме към вас с молба – имаме потребност от вашата поддръжка, с цел да продължим. Вече години вие, читателите ни в 97 страни на всички континенти по света, отваряте всеки ден страницата ни в интернет в търсене на същинска, самостоятелна и качествена публицистика. Вие можете да допринесете за нашия блян към истината, неприкривана от финансови зависимости. Можете да помогнете единственият гарант на наличие да сте вие – читателите.
Групата, ръководена от Джон Колиндж от лондонската Национална клиника по прионите (NPC), основава изказванието си на отчети за случаи на осем души, на които в детството им - преди 1985 година - е бил инжектиран хормон на растежа, получен от мозъчна тъкан на умряли хора. Няколко десетилетия по-късно те развиват признаци на Алцхаймер на удивително млада възраст. " Болестта на Алцхаймер към този момент би трябвало да бъде приета за евентуално трансмисивно заболяване ", написа екипът в списание " Nature Medicine ".
Германските специалисти, които не са взели участие в изследването, са малко по-предпазливи: Матиас Юкер от Института за клинични проучвания на мозъка " Херти " към Университета в Тюбинген и Германския център за невродегенеративни болести (DZNE) споделя, че връзката към момента не е ясно потвърдена. Ако тя бъде доказана, откритието ще бъде " извънредно важен резултат ". Освен всичко друго, то би било доказателство за дългогодишното съмнение, че погрешно сгънатите форми на белтъка амилоид бета могат да причинят болестта - а не са просто непряк артикул от гибелта на мозъчните кафези.
Инга Зер от Университетския медицински център в Гьотинген също е внимателна: " Данните към момента са непълни - споделя неврологът, - само че се вписват в картината. Въпросът би трябвало да бъде изследван в допълнение. "
Няма предаване на инфекцията посредством заболели хора
Едно е ясно: всички специалисти акцентират, че при ежедневната работа с заболели от Алцхаймер или при даването на медицински грижи за тях не съществува никакъв риск. Групата на Колинж е разгледала случаи на хора, които в детството си са били подложени на доста профилирана терапия заради нарушавания в растежа: На всеки от тях са били сложени по няколко интрамускулни инжекции с човешки растежен хормон (hGH), който по това време към момента се е извличал от хипофизната жлеза на мъртви хора.
От 1959 година до 1985 година единствено в Обединеното кралство с него са лекувани минимум 1848 души - лечението е употребена и във Франция, Съединени американски щати, Австралия и Германия. Практиката е прекъсната, откакто повече от 200 реципиенти по света, 80 от които в Верикобританиятво, са инфектирани с заболяването на Кройцфелд-Якоб (CJD) - рядко мозъчно заболяване, което постоянно е с съдбовен край. Инжектираното лекарство е съдържало погрешно сгънати протеини - така наречен приони - които могат да се разпространят в организма и да причинят това заболяване.
Групата на Колинг обаче акцентира, че сходно предаване е доста рядко. В Германия не е имало предаване на CJD по този способ, споделя специалистът от Гьотинген Цер, който изследва прионовите болести. " Ние щяхме да забележим това. " Сега хормонът се създава по друг метод.
Отдавна е известно, че прионовите болести могат да се предават - да вземем за пример посредством консумация на инфектирано с приони говеждо месо. От там идва и нехрофесионалното наименование „ Луда крава “. Въпреки това, по време на проучванията на смъртни случаи от CJD, при които засегнатите са били лекувани с хормон на растежа, лекарите откриват и ясно изразени отлагания на погрешно сгънатия протеин амилоид бета (Aß) в мозъците на някои от умрелите. Тези отлагания са патологична характерност на заболяването на Алцхаймер и евентуално са и нейната съществена причина.
Въпреки това не е ясно дали тези хора щяха да развият признаците на Алцхаймер, в случай че не бяха умряли от CJD и бяха живели по-дълго.
Последвалите разбори на такива препарати демонстрират, че някои от прилаганите по това време хормонални препарати в действителност съдържат и погрешно надиплен амилоид бета. Представените в този момент случаи се отнасят до хора, които са били лекувани с такива хормонални препарати и не са развили заболяването на Кройцфелд-Якоб. При петима от тях признаците на заболяването на Алцхаймер са се показали към три до четири десетилетия след инжектирането на хормоните - удивително рано, на възраст сред 38 и 55 години.
Изследователският екип не е разкрил други аргументи за това развиване, по-специално генетично влечение, в актуалното изследване. Няма и доказателства, че неналичието на самия хормон на растежа или други прилагани лечения биха могли да провокират деменция.
Вместо това откривателите допускат, че с изключение на двата известни разновидността би трябвало да съществува и трета, така наречен ятрогенна форма на Алцхаймер, провокирана от медицински ограничения. Според тях това се случва извънредно рядко. Една от аргументите за това е, че хормоналната терапия не се употребява от 1985 година насам.
Нещо повече, случаите се отнасят извънредно до получатели на препарата хормон на растежа, който освен произлиза от хипофизната жлеза на мъртви хора, само че и е подготвен по доста специфичен способ: този по този начин наименуван способ на Вилхелми не може да направи безвредни съдържащите се в него приони и амилоидни бета, се споделя в коментар в Nature.
" Хората, които описахме, са били подложени на характерно и от дълго време изоставено здравно лекуване ", акцентира Колинг в изказване от Университетския лицей в Лондон. " Те са били инжектирани с материал, за който в този момент знаем, че е бил инфектиран със свързани с заболяването протеини. Няма доказателства, че заболяването на Алцхаймер може да се предава сред хората по време на ежедневни действия или естествени медицински грижи. "
" След тази обява сигурно ще има доста следваща работа, с цел да се ревизира резултатът ", споделя Юкер. " Ако резултатът се удостовери, това ще бъде извънредно забавно от механична позиция. " Например, проучванията на лечения за заболяването на Алцхаймер, които са ориентирани против амилоид бета, биха могли да получат подтик. Това също по този начин би означавало, че синдромът на Алцхаймер е прионно заболяване - т.е. основано на погрешно нагънати протеини, които се популяризират в целия организъм.
Още по тематаПодкрепете ни
Уважаеми читатели, вие сте тук и през днешния ден, с цел да научите новините от България и света, и да прочетете настоящи разбори и мнения от „ Клуб Z “. Ние се обръщаме към вас с молба – имаме потребност от вашата поддръжка, с цел да продължим. Вече години вие, читателите ни в 97 страни на всички континенти по света, отваряте всеки ден страницата ни в интернет в търсене на същинска, самостоятелна и качествена публицистика. Вие можете да допринесете за нашия блян към истината, неприкривана от финансови зависимости. Можете да помогнете единственият гарант на наличие да сте вие – читателите.
Източник: clubz.bg
КОМЕНТАРИ




