... на Отделението по фтизиатрия: 032/602 770 и 032/602 604. Присъединете се към нашия След питане от ПП-ДБ: ПОС засилва нощния контрол и проверките през уикенда в Пловдив
Туберкулоза Над - Новини
В През 2018 г Индия си постави високата цел да
...... за тормоз. Катар измества смъртната присъда на Индия за бивши военноморски офицери Жена дефилира гол: Познато заглавие в Индия. Емблематичното списание, което „изобрети“ индийския тийнейджър
Област Благоевград е сред 12 те области в страната в които
...... се е снижил броят на новооткритите и регистрирани случаи от туберкулоза през периода 2019-2020г., а през периода 2020-2021 се е набюдавало частичното му възтановяване.П. Кирилов
В дванайсет области заболеваемостта от туберкулоза е над средната за
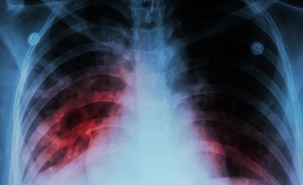
...... години от откриването на Mycobacterium tuberculosis - причинител на туберкулозата, от д-р Роберт Кох. На 24 март се отбелязва Световният ден за борба с туберкулозата.
В дванайсет области заболеваемостта от туберкулоза е над средната за
...... години от откриването на Mycobacterium tuberculosis - причинител на туберкулозата, от д-р Роберт Кох. На 24 март се отбелязва Световният ден за борба с туберкулозата.
В дванайсет области у нас заболеваемостта от туберкулоза е над
...... преден план ваксината БЦЖ като положителен фактор за по-силен имунитет срещу заразата, а Австралия дори тества ваксина против туберкулоза като средство за борба с коронавируса.
В дванайсет области заболеваемостта от туберкулоза е над средната за
...... от откриването на Mycobacterium tuberculosis - причинител на туберкулозата, от д-р Роберт Кох. На 24 март се отбелязва Световният ден за борба с туберкулозата.
Туберколозата продължава бъде сред 10 те водещи причини за настъпване на
...... ваксините и подходите за терапия на заболяването. Високият ръст на случаите на скарлатина у нас се дължат на бум на заболели от варицела. Повече вижте във видеото:
Новите случаи на туберкулоза по света са се увеличили за
...... г. туберкулозата е била на първо място в света по инфекциозни заболявания, но от 2020 г. е на второ място след COVID-19 и преди СПИН.
Френският президент Еманюел Макрон заяви че конференция на Глобалния фонд
...... последват примера ѝ. Конгресът на САЩ одобри ангажимент за предоставянето на общо 4,68 млрд. долара през следващите три години. Вашингтон и Париж са най-големите донори.
Тенденция за намаляване на болните от туберкулоза за девета поредна
...... болестта. Чуйте повече в приложения звуков файл. Още по темата очаквайте и в събота - 24 март, в предаването „Часът на здравето“ след 11:00 часа.
С 9 са намалели болните от туберкулоза в България през
...... 6 месеца. Страната ни получава финансиране за това от Глобалния фонд за борба срещу СПИН, туберкулоза и малария и техническа подкрепа от Световната здравна организация.











