... ми казват, че музиката е в пръстите им. Отговарям им: ‘Добре, тогава нека извадим мозъка от главата ви и да видим колко добре ще свирите!’“
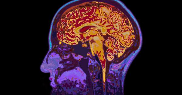
Мозъкът Реагира - Новини
В света на залозите преживяванията в едно онлайн казино не
...... контролира импулсите. В света на онлайн казината, играта не е само шанс - тя е преживяване, което се запечатва дълбоко в съзнанието. Съдържание на: Topwin
Любовта винаги е била важна тема в литературата музиката и
...... обработка и пространствено съзнание в мозъка. Това показва колко различни са неврологичните пътища, когато става въпрос за чувства, свързани с нещо извън човешките взаимоотношения.
Любовта винаги е била важна тема в литературата музиката и
...... обработка и пространствено съзнание в мозъка. Това показва колко различни са неврологичните пътища, когато става въпрос за чувства, свързани с нещо извън човешките взаимоотношения.
Всеки от нас в даден момент от живота си разбира
...... по-добро разбиране на нашата вътрешна и външна среда. Можем да осмислим живота си и да придобием перспектива, нещо, което е жизненоважно за цялостното ни благосъстояние.Източник
Съвременната магнитно резонансна томография позволява да се улови мигът в който
...... креативно мислене мозъчни вълни първоначално се наслагват една върху друга, но се разделят 300 милисекунди, преди доброволецът да натисне копчето, за да даде отговора си.
Американски учени смятат че са открили каква точно мозъчна активност
...... повече, можем да го отдадем на средата в която индивидите се развиват. Това са напълно отворени въпроси. Към момента можем само да спекулираме”, обяснява Тай.
Алкохолът оказва влияние върху нервната система по различни начини но
...... matter volumes; Nature Материалът има информативен характер и не може да замести консултацията с лекар. Преди да предприемете лечение, задължително се консултирайте с лекар.
В ранна възраст децата реагират в по голяма степен на гласа
...... The Journal of Neuroscience.Референции:https://medicalxpress.com/news/2022-04-brain-scans-teens-nonfamilial-voices.htmlhttps://medicalxpress.com/news/2022-04-brain-scans-teens-nonfamilial-voices.html Материалът има информативен характер и не може да замести консултацията с лекар. Преди да предприемете лечение, задължително се консултирайте с лекар.
Покрай пандемията от COVID 19 самотата се превърна в познато усещане
...... самотата е по-сложно, отколкото с глада. Особено в ситуация като днешната, в която много ни се иска да общуваме, но знаем, че не е безопасно.
Вредни но научни съвети как да повишите удоволствието от сладкото
...... как да отслабнете без забрани? Изберете здравословна стратегия, която е базирана не върху волеви усилия, а върху създаването на навици, режим на хранене и граници.
Свикнали сме да заклеймяваме мъжете като перверзници които все гледат
...... На базата на него, като най-лесен и ефикасен начин една двойка да се настрои напалава вълна може да се изведе дуетното гледане на еротични филми.
22 годишната Симона Тодорова която бе простреляна в Слънчев бряг вече
...... бос Коста Николов-Миджурина, от когото ревнувал, остава в ареста. Той няма да обжалва мярката си за неотклонение пред Бургаския апелативен съд.По публикацията работи: Веселина Йорданова
Съвременната магнитно резонансна томография позволява да се улови мигът в който
...... креативно мислене мозъчни вълни първоначално се наслагват една върху друга, но се разделят 300 милисекунди, преди доброволецът да натисне копчето, за да даде отговора си.












