... Саткаускас, главен изпълнителен директор на Sentante, в интервю за BBC News от базата на компанията в Литва. Понякога бъдещето е много по-близо, отколкото си мислим.
Лекува Инсулт - Новини
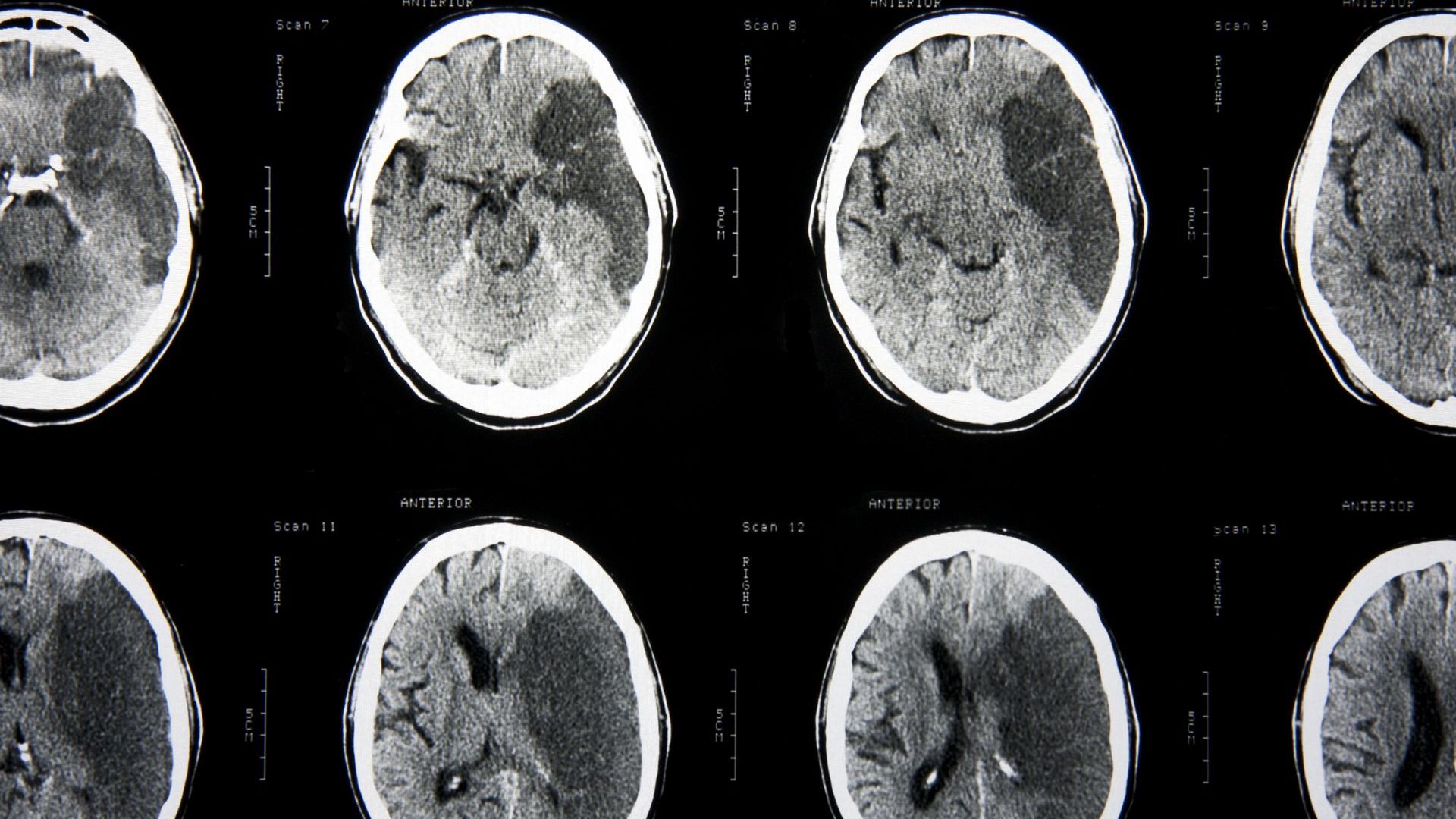
Лекари от Шотландия и САЩ са извършили това което се
...... Саткаускас, главен изпълнителен директор на Sentante, в интервю за BBC News от базата на компанията в Литва.Понякога бъдещето е много по-близо, отколкото си мислим. Инфо: BBC
Намира и разтваря кръвни съсиреци в мозъкаПредставете си че можем
...... очакваме с нетърпение да видим тази авангардна технология да трансформира спешните грижи за инсулт, като в крайна сметка подобрява резултатите за пациентите през следващите години”.
Във Видин Враца Монтана Сливен и Ямбол засега няма нито
...... фактори са предсърдно мъждене, висок холестерол, висока стойност на кръвната захар, диабет, прекомерен прием на солена и мазна храна, тютюнопушене, ниска физическа активност и стрес.
Във Видин Враца Монтана Сливен и Ямбол засега няма нито
...... директор на Многопрофилна болница за активно лечение по неврология и психиатрия "Св.Наум". Виж още Доц. Калпачки: Прилагаме успешно ново лечение до 6-ия час от инсулта
Свищов Свищовската болница вече може да лекува пациенти с инсулт
...... специалистът. Той увери, че ще се повиши скоростта на изследванията, които вече ще са и по-точни, благодарение на по-високата разделителна способност на апарата. Луиза ТРАНЧЕВА





