... могат да идентифицират кои специфични компоненти – като социална мотивация или разпознаване на звукови модели – не функционират правилно при състояния като аутизъм или афазия.
Човешкият Език - Новини
Експерти обединяват биология и култура в единна теорияМащабно научно изследване
...... могат да идентифицират кои специфични компоненти – като социална мотивация или разпознаване на звукови модели – не функционират правилно при състояния като аутизъм или афазия.
Изкуственият интелект е великото изравняване – технология която премахва бариерите
...... и AI, от което почти всеки може да се възползва. Бих насърчил всички – и особено децата – да възприемат този модел. Защото изглежда трансформиращо.“
Човешкият език също има шесто чувство като освен вкусовете за
...... Резултатите показват, че под въздействието на негативни емоции човек лесно посяга към бисквитите, сладкишите и шоколад. Резултатите разкриват и че жените са по-подвластни на емоционалното хранене.
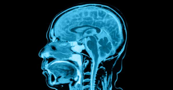
Чудили ли сте се някога как точно изглежда езикът на
...... бийтбоксва, докато се намира в ЯМР – по този начин можете да видите как езикът се изкривява от една много по-различна перспектива. Невероятно е, нали? Източник: IFLScience
Калин Терзийски предизвиква крайни емоции – мразен и оплют от
...... трагична мъдрост. Едно изречение, с което би искал да те запомним? Не бъдете себе си. Бъдете нещо по-добро. Интервю на Милен Антиохов за SofiaLive.bg



&format=webp)


