Пловдивски лекар разкрива как да се справим с омазнения черен дроб
Омазняването на черния дроб (чернодробна стеатоза) е световен проблем с възходяща периодичност. Свързва се както с несъразмерната консумация на алкохол и други токсични за черния дроб вещества, по този начин и с повсеместното затлъстяване на популацията и покачвания брой случаи на диабет вид 2 в международен мащаб.
Чернодробната стеатоза дружно със болести като неалкохолен стеатохепатит и чернодробна фиброза се включват в комплекса на Метаболитно-асоциираното затлъстяване на черния дроб (MAFLD). Те постепенно и неусетно могат да доведат до съществени затруднения като чернодробна цироза и карцином на черния дроб. Това съобщи гастроентерологът от УМБАЛ Каспела д-р Деян Радев.
Според най-новите изследвания към 30% от популацията може да е наранено от този проблем. Понякога това са даже слаби пациенти без справедливи данни за затлъстяване или диабет.
Лечението на чернодробното затлъстяване постоянно стартира с самостоятелна диета, задоволителна физическа интензивност и цялостна смяна в метода на живот. Към тези ограничения може да се добави и медикаментозно лекуване, като все още обект на изследвания са голям брой нови обещаващи лечения.
Основно предписание в храненето освен това заболяване е редуцираният калориен банкет, като с преимущество са нисковъглехидратните пред нискомазнинните диети. Проучванията демонстрират, че хората консумиращи храни богати на наситени мазнини и холестерол страдат по-често от чернодробно омазняване по отношение на тези хранещи се с полиненаситени мазнини- зехтин, риба, кокосово масло, авокадо и други Диетите с ниско белтъчно наличие също могат да доведат до чернодробна стеатоза.
„ Най-добре проучена и потвърдила се във времето остава средиземноморската диета, която включва най-вече зеленчуци, плодове, зърнени храни, зехтин, ядки, бяло месо - риба и пилешко и лимитира потреблението на млечни артикули, алено месо, захарни произведения и модифицирани храни. “, разяснява доктор Деян Радев.
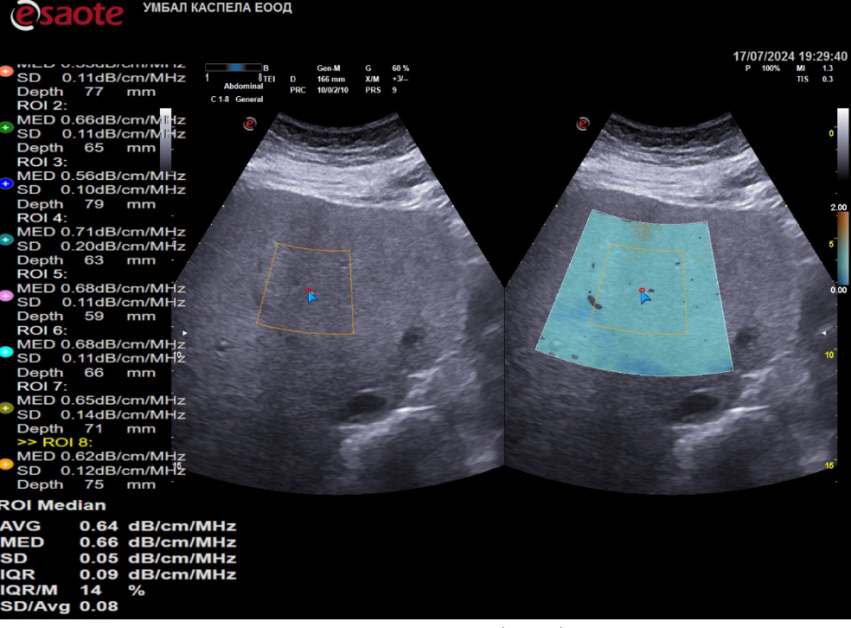
Диагностицирането на чернодробната стеатоза и инфектиране постоянно стартира с ехографски обзор и лабораторни проби.
Клиниката по гастроентерология на УМБАЛ Каспела разполага с ехографски апарати от последно потомство на водещи производители- Hitachi Aloka, Philips, Esaote. Освен рутинната ехография те оферират и програмен продукт за качествена и количествена оценка на чернодробната стеатоза и фиброза- pSW и 2D еластография, QAI - количествена оценка на чернодробното омазняване.
Ехографското проучване посредством тези способи е бързо, безболезнено за пациента и без дискомфорт или лъчево натоварване.
Чернодробната стеатоза дружно със болести като неалкохолен стеатохепатит и чернодробна фиброза се включват в комплекса на Метаболитно-асоциираното затлъстяване на черния дроб (MAFLD). Те постепенно и неусетно могат да доведат до съществени затруднения като чернодробна цироза и карцином на черния дроб. Това съобщи гастроентерологът от УМБАЛ Каспела д-р Деян Радев.
Според най-новите изследвания към 30% от популацията може да е наранено от този проблем. Понякога това са даже слаби пациенти без справедливи данни за затлъстяване или диабет.
Лечението на чернодробното затлъстяване постоянно стартира с самостоятелна диета, задоволителна физическа интензивност и цялостна смяна в метода на живот. Към тези ограничения може да се добави и медикаментозно лекуване, като все още обект на изследвания са голям брой нови обещаващи лечения.
Основно предписание в храненето освен това заболяване е редуцираният калориен банкет, като с преимущество са нисковъглехидратните пред нискомазнинните диети. Проучванията демонстрират, че хората консумиращи храни богати на наситени мазнини и холестерол страдат по-често от чернодробно омазняване по отношение на тези хранещи се с полиненаситени мазнини- зехтин, риба, кокосово масло, авокадо и други Диетите с ниско белтъчно наличие също могат да доведат до чернодробна стеатоза.
„ Най-добре проучена и потвърдила се във времето остава средиземноморската диета, която включва най-вече зеленчуци, плодове, зърнени храни, зехтин, ядки, бяло месо - риба и пилешко и лимитира потреблението на млечни артикули, алено месо, захарни произведения и модифицирани храни. “, разяснява доктор Деян Радев.
Диагностицирането на чернодробната стеатоза и инфектиране постоянно стартира с ехографски обзор и лабораторни проби.
Клиниката по гастроентерология на УМБАЛ Каспела разполага с ехографски апарати от последно потомство на водещи производители- Hitachi Aloka, Philips, Esaote. Освен рутинната ехография те оферират и програмен продукт за качествена и количествена оценка на чернодробната стеатоза и фиброза- pSW и 2D еластография, QAI - количествена оценка на чернодробното омазняване.
Ехографското проучване посредством тези способи е бързо, безболезнено за пациента и без дискомфорт или лъчево натоварване.
Източник: glasnews.bg
КОМЕНТАРИ




