... спрем страданието на децата му, които гледат как се мъчи.“Всеки, който иска да подкрепи Иван, може да дари средства по следната банкова сметка:BG51UNCR70001522835811Иван Весков Крачев
Агресивен Мозъчен - Новини
Нова персонализирана инжекция срещу рак на мозъка може да задейства
...... намалява риска от връщане на рака при пациенти с меланом.Сега последна фаза Беше стартирано 3 изпитване, ръководено от University College London Hospitals NHS Foundation Trust.
В публикация в социалните медии Кинсела чието истинско име
...... копия в повече от 60 страни и са преведени на повече от 40 езика.Тя има четирима сина и една дъщеря със съпруга си Хенри Уикъм.
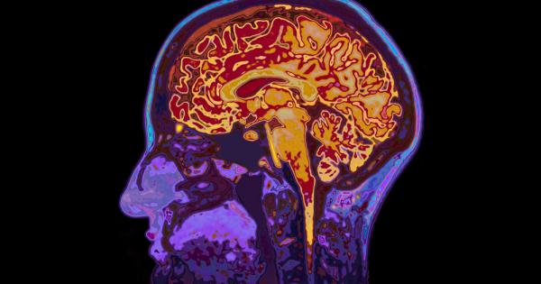
Нова терапия за борба с изключително агресивен вид мозъчен тумор
...... ги тества при пациенти, чиито тумори се връщат след стандартното лечение. Подробности за изследванията са публикувани в изданията New England Journal of Medicine и Nature Medicine.
Нова терапия за борба с изключително агресивен вид мозъчен тумор
...... ги тества при пациенти, чиито тумори се връщат след стандартното лечение. Подробности за изследванията са публикувани в изданията New England Journal of Medicine и Nature Medicine.
Вирусът който поразява нервната система на неродените бебета и може
...... Същото се случило и при опитите с човешка тъкан и с мишки - вирусът атакува директно раковите клетки без да уврежда останалите здрави мозъчни клетки.
Вирусът който поразява нервната система на неродените бебета и може
...... че да не е болестотворен при експериментите и потенциалното му разработване като лекарство. Междувременно заради обещаващите резултати досега, Университетът в Кеймбридж също започва подобно проучване.







