... ден след операцията – тя няма никаква температура, играе, благодарим им сърдечно“, споделя бащата Ахмед Чолев и се надява лошото да е зад гърба им.
Половина Монета - Новини
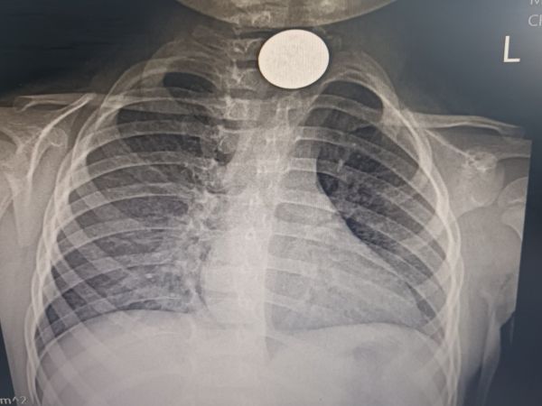
В УМБАЛ Бургас спасиха дете живяло с монета в хранопровода месец
...... ще бъде описан в научна публикация, а медиците съветват родителите да бъдат внимателни и да не позволяват на малките деца да играят с дребни предмети.
Родителите се успокояват и няколко седмици Мелиса ходи на ясла
...... Родителите се успокояват и няколко седмици Мелиса ходи на ясла, весела е, играе.Преди десетина дни малката внезапно започва да вдига висока температура, а сним
Лекари от отделението Уши нос гърло УНГ в УМБАЛ Бургас спасиха
...... играят с дребни предмети, които могат да глътнат, нито да им дават ядки, бонбони и други храни, неподходящи за възрастта. Двегодишната Мелиса е изписана от болницата.
В УМБАЛ Бургас спасиха дете живяло с монета в хранопровода месец
...... деца да играят с дребни предмети. За да научите първи най-важното, изтеглете приложението на bTV Новините за и ! Бъдете с нас и във и !
Лекари от отделението Уши нос гърло УНГ в УМБАЛ Бургас спасиха
...... позволяват на малките деца да играят с дребни предмети, които могат да глътнат, нито да им дават ядки, бонбони и други храни, неподходящи за възрастта.
Лекари от отделението Уши нос гърло УНГ в УМБАЛ Бургас спасиха
...... могат да глътнат, нито да им дават ядки, бонбони и други храни, неподходящи за възрастта.Двегодишната Мелиса е изписана от болницата.Снимка: Димитър Кьосемарлиев, Bulgaria ON AIR
Случаят ще бъде описан в научна публикацияЛекари от отделението Уши
...... играят с дребни предмети, които могат да глътнат, нито да им дават ядки, бонбони и други храни, неподходящи за възрастта.Двегодишната Мелиса е изписана от болницата.
Лекари от УНГ отделението на УМБАЛ Бургас спасиха дете живяло месец
...... и да го отворят. Имат и друга, по-голяма дъщеря. Мелиса вече е изписана от болницата и всички се надяват лошото да е зад гърба им.
Лекари от УНГ отделението на УМБАЛ Бургас спасиха дете живяло месец
...... и да го отворят. Имат и друга, по-голяма дъщеря. Мелиса вече е изписана от болницата и всички се надяват лошото да е зад гърба им.
Лекари от УНГ отделението на УМБАЛ Бургас спасиха дете живяло месец
...... и да го отворят. Имат и друга, по-голяма дъщеря. Мелиса вече е изписана от болницата и всички се надяват лошото да е зад гърба им.
Лекари от отделението 8222 Уши нос гърло 8220 УНГ в УМБАЛ Бургас спасиха
...... с дребни предмети, които могат да глътнат, нито да им дават ядки, бонбони и други храни, неподходящи за възрастта.2-годишната Мелиса вече е изписана от болницата.
Лекари от отделението Уши нос гърло УНГ в УМБАЛ Бургас спасиха
...... дребни предмети, които могат да глътнат, нито да им дават ядки, бонбони и други храни, неподходящи за възрастта. 2-годишната Мелиса вече е изписана от болницата.
Лекари извадиха монета от 20 стотинки от 2 годишно момиченце която
...... с дребни предмети, които могат да глътнат, нито да им дават ядки, бонбони и други храни, неподходящи за възрастта.2-годишната Мелиса вече е изписана от болницата.
Лекари от отделението Уши нос гърло УНГ в УМБАЛ Бургас спасиха дете
...... играят с дребни предмети, които могат да глътнат, нито да им дават ядки, бонбони и други храни, неподходящи за възрастта. 2-годишната Мелиса вече е изписана от болницата.
Лекари от отделението Уши нос гърло УНГ в УМБАЛ Бургас спасиха
...... дребни предмети, които могат да глътнат, нито да им дават ядки, бонбони и други храни, неподходящи за възрастта. 2-годишната Мелиса вече е изписана от болницата.
















