Защо са ни млечните зъби
Много родители считат, че не е значимо да се грижат прекалено много за млечните зъбки на детето, тъй като след известно време те ще паднат. Но те имат огромно значение за вярното развиване и осъществяване на редица функционалности.
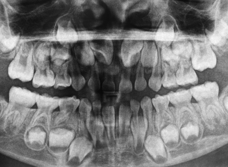
Детето разполага с 20 млечни зъба - 10 от горната страна и 10 изпод, под които са ситуирани зачатъците на бъдещите непрекъснати зъби. Първи се демонстрират долните предни резци, а последни - кътниците. Редът на рухването им е същият.
Една от очевидните функционалности на млечните зъби е да подкрепят храненето на детето, като разрешават прибавяне на повече разнородни артикули към менюто му. А това е жизненоважно за развиването и бурния напредък на неговото тяло.

Млечните зъбки имат доста огромно значение за вярното развиване и на речта на детето. Без тях извличането на комплицираните звуци в един език е немислимо. Само се пробвайте да кажете писмеността, без да докосвате с език зъбите си, и ще разберете защо приказваме.
Но едно от най-важните им предопределения е да пазят място за непрекъснатите зъби , които ще ги заместят по-късно.
Когато по някаква причина се наложи преждевременното премахване на някое млечно зъбче, непрекъснатият зъб губи мястото си и това води до скупчване и деформиране на новите зъби. Възможно е и поникването на непрекъснатия зъб да се забави, в случай че след отстраняването на млечния се е натрупала костна тъкан, която пречи на това.

Може би сте се питали за какво просто през цялото време не ни поникват непрекъснати зъби, а би трябвало да ги сменяме. Това е по този начин, тъй като размерът на челюстта на детето е прекомерно дребен за огромните непрекъснати зъби. А в случай че оставаха с размера на млечните, при възрастния субект те щяха да бъдат малцина и с огромни дистанции между тях.
Детето разполага с 20 млечни зъба - 10 от горната страна и 10 изпод, под които са ситуирани зачатъците на бъдещите непрекъснати зъби. Първи се демонстрират долните предни резци, а последни - кътниците. Редът на рухването им е същият.
Една от очевидните функционалности на млечните зъби е да подкрепят храненето на детето, като разрешават прибавяне на повече разнородни артикули към менюто му. А това е жизненоважно за развиването и бурния напредък на неговото тяло.

Млечните зъбки имат доста огромно значение за вярното развиване и на речта на детето. Без тях извличането на комплицираните звуци в един език е немислимо. Само се пробвайте да кажете писмеността, без да докосвате с език зъбите си, и ще разберете защо приказваме.
Но едно от най-важните им предопределения е да пазят място за непрекъснатите зъби , които ще ги заместят по-късно.
Когато по някаква причина се наложи преждевременното премахване на някое млечно зъбче, непрекъснатият зъб губи мястото си и това води до скупчване и деформиране на новите зъби. Възможно е и поникването на непрекъснатия зъб да се забави, в случай че след отстраняването на млечния се е натрупала костна тъкан, която пречи на това.

Може би сте се питали за какво просто през цялото време не ни поникват непрекъснати зъби, а би трябвало да ги сменяме. Това е по този начин, тъй като размерът на челюстта на детето е прекомерно дребен за огромните непрекъснати зъби. А в случай че оставаха с размера на млечните, при възрастния субект те щяха да бъдат малцина и с огромни дистанции между тях.
Източник: lifestyle.bg
КОМЕНТАРИ




