Рошка е в критично състояние след катастрофа, нуждае се от незабавна операция
Кученце е в тежко положение след удар от автомобил, доброволци търсят незабавна помощ за животоспасяваща интервенция. Кученце на име Рошка е с тежки фрактури на задните крайници, откакто е било блъснато от автомобил и изоставено безпомощно на пътното платно край Батак.
локална доброволка е станала директен свидетел на случилото се. Без съмнение тя е потърсила помощ от организацията, която, макар натоварения си потенциал и сериозните отговорности, е реагирала неотложно.
Рошка е превозена по неотложност до ветеринарна клиника в Стара Загора, защото клиниката в града, която доброволците всекидневно посещават, към този момент няма опция да поема нови случаи. Там кученцето е прегледано от експерт ортопед и са му направени нужните проучвания.
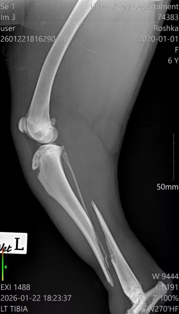
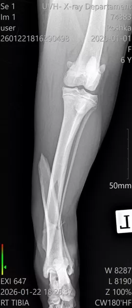
Диагнозата е тежка – две съществени фрактури на задните крака в региона на пищялите, с разбъркване и травмирани меки тъкани. По думите на ортопеда съществува действителен късмет фрактурите да бъдат закрепени с импланти и винтове, което би разрешило на Рошка още веднъж да проходи.
Въпреки жестокия удар, лекарите регистрират и положителната вест – няма увреждания на таза и гръбначния дирек, а кученцето съумява независимо да прави физиологичните си потребности.
Състоянието ѝ обаче остава сериозно. Рошка се нуждае от незабавна хирургична интервенция в най-кратък период. Фрактурите са извънредно мъчителни и сега животното изпитва мощна болежка.
Доброволците насочат зов за поддръжка, с цел да бъде обезпечена нужната интервенция и следващо лекуване. „ Молим за помощ, с цел да дадем на Рошка късмет за живот без болежка и страдалчество “, приканват те.
За да подкрепите Рошка, можете да дарите за нея на:
Paypal: [email protected]
(Моля, когато пускате пари по Paypal, изберете алтернатива " Изпрати на другар ", с цел да не се полза с такса сумата)
или на номер 0885 82 44 86
Изпратете SMS с текст DMS KOTETA на 17 777
Данни за банкова сметка:- Титуляр: Фондация " Втори живот " - BG06BPBI88981031840201- BIC: BPBIBGSF- Postbank
Офис на Еконт в Пловдив - Беласица, 0885 82 44 86
Прочетете още
локална доброволка е станала директен свидетел на случилото се. Без съмнение тя е потърсила помощ от организацията, която, макар натоварения си потенциал и сериозните отговорности, е реагирала неотложно.
Рошка е превозена по неотложност до ветеринарна клиника в Стара Загора, защото клиниката в града, която доброволците всекидневно посещават, към този момент няма опция да поема нови случаи. Там кученцето е прегледано от експерт ортопед и са му направени нужните проучвания.
Диагнозата е тежка – две съществени фрактури на задните крака в региона на пищялите, с разбъркване и травмирани меки тъкани. По думите на ортопеда съществува действителен късмет фрактурите да бъдат закрепени с импланти и винтове, което би разрешило на Рошка още веднъж да проходи.
Въпреки жестокия удар, лекарите регистрират и положителната вест – няма увреждания на таза и гръбначния дирек, а кученцето съумява независимо да прави физиологичните си потребности.
Състоянието ѝ обаче остава сериозно. Рошка се нуждае от незабавна хирургична интервенция в най-кратък период. Фрактурите са извънредно мъчителни и сега животното изпитва мощна болежка.
Доброволците насочат зов за поддръжка, с цел да бъде обезпечена нужната интервенция и следващо лекуване. „ Молим за помощ, с цел да дадем на Рошка късмет за живот без болежка и страдалчество “, приканват те.
За да подкрепите Рошка, можете да дарите за нея на:
Прочетете още Източник: trafficnews.bg
КОМЕНТАРИ




