В болница „Чирков“ спасиха пациент с огромни тумори в сърцето и черния дроб
Кардиохирурзите от УМБАЛ „ Проф. доктор Александър Чирков “ отстраниха от сърцето и черния дроб на 60-годишен пациент.
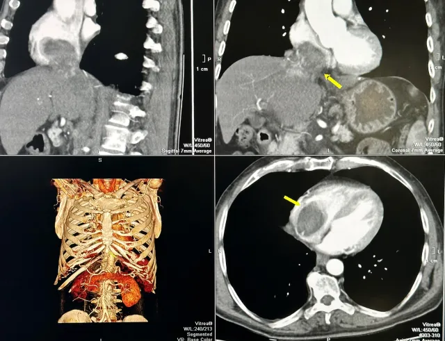
Туморът с размери е заел и извършил съвсем напълно кухината на дясното предсърдие на сърцето и е застрашавал да запуши белодробните артерии и белия дроб.
След постъпването на пациента в лечебното заведение е, от който се откриват злокачествените формирания в кухините на сърцето и съществуването на две големи туморни огнища в черния дроб.
Туморът се популяризира и като обгръща и запушва прехода на долна празна вена, преминаваща през черния дроб. Размерът на туморното образувание в този сектор е с дължина 17 сантиметра и ширина три сантиметра.
Екип на Клиниката по кардиохирургия на УМБАЛ „ Проф. доктор Александър Чирков “ под управлението на проф. Димитър Петков отстранява изцяло туморите от сърцето и от цялата долна празна вена, намираща се в чернодробния сектор.
Пациентът е нормализиран, в положително общо положение и към този момент е изписан от лечебното заведение. Очакват се резултатите от, от които ще се откри какво да бъде последващото лекуване. Близките на пациента споделят, че в никакъв случай преди той не е постъпвал в болница.
За кардиохирурзите от УМБАЛ „ Проф. доктор Александър Чирков “. Преди два месеца лекарите отстраниха 10 см. израстък от сърцето на 40-годишен пациент. Тези формирания могат да бъдат доброкачествени, злокачествени, в резултат на инфекции и вродени положения.
Средно годишно в УМБАЛ „ Проф. доктор Александър Чирков “ постъпват към 10-12 пациента с сходна диагноза.
Източник: btvnovinite.bg
КОМЕНТАРИ




