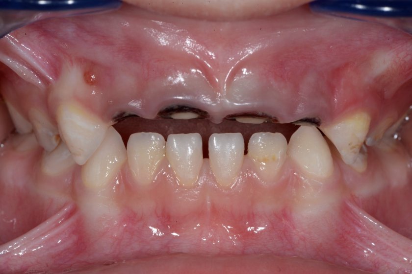
ШОКИРАЩИ ДАННИ: 90% от децата ни са с развалени зъби
Развалени зъби мъчат над 90% от децата ни, сочат данни на Националната стратегия за профилактика на оралните болести, показани от Българския заболекарски съюз. 71% от децата до 5-годишна възраст имат кариес на млечните зъби. При подрастващите до 12 години процентът е 79, а при 18-годишните той стига до 92 на 100.
Обобщените данни демонстрират, че от 1 млн. деца у нас над 792 000 имат кариеси. Това значи, че протези, коронки, мостове, импланти и фасети предстоят на съвсем всеки пълновръстен, поради дентални проблеми.
Специалисти отдават наклонността на метода на хранене и продуктите, които децата употребяват още от ранна детска възраст и липса на профилактика.
Проф. Донка Байкова, експерт по Хранене и диететика, предложи бялата кристална захар да се понижи до най-малко.
“Отдавна водим война с тези бели вещества - бяло брашно, захар и сол и все пак потреблението им е висока. ” Това съобщи пред “Труд ” експертът по Хранене и диететика проф. Донка Байкова. Тя напомни мнение на експертите по хранене и диететика, което насочва към понижаване на рецептурното наличие на захар в закуски, подкрепителни или десертни блокчета. “Трябва производителите да реформулират своите рецептури по този начин, че бялата кристална захар да бъде сменена с нейни аналози - вероятно два пъти по-малко от наличното количество захар в тези произведения, за сметка на сухи плодове, натурални вещества, пчелен мед и несъмнено някои билкови съставки, с цел да овкусят храните, само че не и толкоз доста кристална захар ”, съобщи проф. Байкова. Тя уточни, че практиката към този момент се ползва в развити европейски страни. “Крайно време е ние да реформулираме нашите храни, предопределени и за деца, а и за какво не за възрастното население. Не да слагаме изкуствени подсладители, тъй като те са нещо толкоз нездравословно, колкото кристалната захар.
Тя обезпечава добра среда за гнилостен резултат в устната празнина и надлежно причина за кариес, това е предисторически потвърден теоретичен факт ”, уточни още проф. Байкова. Тя посъветва родителите да подготвят сладкиши за децата си със сушени плодове или мед. “Вкусът към наслада и соленост се възпитава. Съветвам родителите от ранна детска възраст да учат детето да вземем за пример, топлото му мляко да е без захар. Ако имаме единно отношение и поддръжката на родители, сигурно ще имаме триумф ”, съобщи още експертът по хранене.
А съгласно ръководителят на Българският зъболекарски съюз (БЗС) доктор Николай Шарков е значимо и възпитанието на децата за орална хигиена. По негови данни едвам 30% от българите си мият зъбите. Припомни, че четката за зъби би трябвало да се сменя на три месеца, а при болести и по-често. Пастите за възрастни би трябвало да се употребяват от децата след шестата им година, уточни от своя страна секретарят на БЗС доктор Борислав Миланов.
Именно неналичието на профилактика, неприятна хигиена, редовно неглижиране на оралното здраве и нерационално хранене са аргументите за стряскащата стоматологична картина в България, регистрираха експертите.
Според данни на Българската асоциация на зъботехниците за 2023 година са направени и регистрирани в НЗОК 65 000 протези. За всяка пациентите са доплащали разнообразни суми, само че по закон те са безвъзмездни.
Обобщените данни демонстрират, че от 1 млн. деца у нас над 792 000 имат кариеси. Това значи, че протези, коронки, мостове, импланти и фасети предстоят на съвсем всеки пълновръстен, поради дентални проблеми.
Специалисти отдават наклонността на метода на хранене и продуктите, които децата употребяват още от ранна детска възраст и липса на профилактика.
Проф. Донка Байкова, експерт по Хранене и диететика, предложи бялата кристална захар да се понижи до най-малко.
“Отдавна водим война с тези бели вещества - бяло брашно, захар и сол и все пак потреблението им е висока. ” Това съобщи пред “Труд ” експертът по Хранене и диететика проф. Донка Байкова. Тя напомни мнение на експертите по хранене и диететика, което насочва към понижаване на рецептурното наличие на захар в закуски, подкрепителни или десертни блокчета. “Трябва производителите да реформулират своите рецептури по този начин, че бялата кристална захар да бъде сменена с нейни аналози - вероятно два пъти по-малко от наличното количество захар в тези произведения, за сметка на сухи плодове, натурални вещества, пчелен мед и несъмнено някои билкови съставки, с цел да овкусят храните, само че не и толкоз доста кристална захар ”, съобщи проф. Байкова. Тя уточни, че практиката към този момент се ползва в развити европейски страни. “Крайно време е ние да реформулираме нашите храни, предопределени и за деца, а и за какво не за възрастното население. Не да слагаме изкуствени подсладители, тъй като те са нещо толкоз нездравословно, колкото кристалната захар.
Тя обезпечава добра среда за гнилостен резултат в устната празнина и надлежно причина за кариес, това е предисторически потвърден теоретичен факт ”, уточни още проф. Байкова. Тя посъветва родителите да подготвят сладкиши за децата си със сушени плодове или мед. “Вкусът към наслада и соленост се възпитава. Съветвам родителите от ранна детска възраст да учат детето да вземем за пример, топлото му мляко да е без захар. Ако имаме единно отношение и поддръжката на родители, сигурно ще имаме триумф ”, съобщи още експертът по хранене.
А съгласно ръководителят на Българският зъболекарски съюз (БЗС) доктор Николай Шарков е значимо и възпитанието на децата за орална хигиена. По негови данни едвам 30% от българите си мият зъбите. Припомни, че четката за зъби би трябвало да се сменя на три месеца, а при болести и по-често. Пастите за възрастни би трябвало да се употребяват от децата след шестата им година, уточни от своя страна секретарят на БЗС доктор Борислав Миланов.
Именно неналичието на профилактика, неприятна хигиена, редовно неглижиране на оралното здраве и нерационално хранене са аргументите за стряскащата стоматологична картина в България, регистрираха експертите.
Според данни на Българската асоциация на зъботехниците за 2023 година са направени и регистрирани в НЗОК 65 000 протези. За всяка пациентите са доплащали разнообразни суми, само че по закон те са безвъзмездни.
Източник: lupa.bg
КОМЕНТАРИ




