Лекари спасиха пациент с огромен тумор в сърцето и черния дроб
Лекари от болница „ Проф. Александър Чирков “ избавиха пациент с голям израстък в сърцето и черния дроб. Рядката интервенция е осъществена на 60-годишен мъж, който към този момент се възвръща, оповестиха от лечебното заведение.
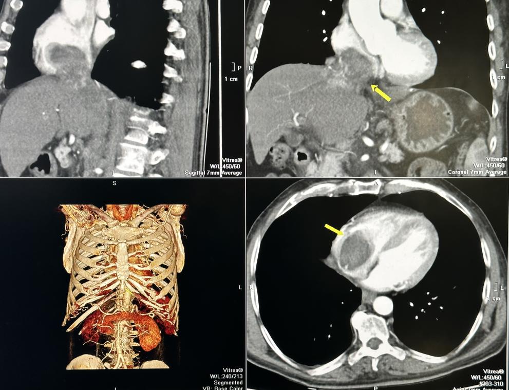
Туморът с размери 7 на 9 см. е заел и извършил съвсем напълно кухината на дясното предсърдие на сърцето и е застрашавал да запуши белодробните артерии и белия дроб.
От болничното заведение прецизират, че след постъпването на пациента е изработен скенер , от който се откриват злокачествените формирания в кухините на сърцето и съществуването на две големи туморни огнища в черния дроб.
УМБАЛ „ Чирков “
Екип на Клиниката по кардиохирургия под управлението на проф. Димитър Петков отстранява изцяло туморите от сърцето и от цялата долна празна вена, намираща се в чернодробния сектор.
Пациентът е нормализиран , в положително общо положение и към този момент е изписан от лечебното заведение. Очакват се резултатите от хистологичния разбор, от които ще се откри какво да бъде последващото лекуване.
За кардиохирурзите от УМБАЛ „ Проф. доктор Александър Чирков “ сходни интервенции не са необичайност. Преди два месеца лекарите отстраниха 10 см. израстък от сърцето на 40-годишен пациент. Тези формирания могат да бъдат доброкачествени, злокачествени, в резултат на инфекции и вродени положения.
Средно годишно там постъпват към 10-12 пациента с сходна диагноза.
Туморът с размери 7 на 9 см. е заел и извършил съвсем напълно кухината на дясното предсърдие на сърцето и е застрашавал да запуши белодробните артерии и белия дроб.
От болничното заведение прецизират, че след постъпването на пациента е изработен скенер , от който се откриват злокачествените формирания в кухините на сърцето и съществуването на две големи туморни огнища в черния дроб.
УМБАЛ „ Чирков “ Екип на Клиниката по кардиохирургия под управлението на проф. Димитър Петков отстранява изцяло туморите от сърцето и от цялата долна празна вена, намираща се в чернодробния сектор.
Пациентът е нормализиран , в положително общо положение и към този момент е изписан от лечебното заведение. Очакват се резултатите от хистологичния разбор, от които ще се откри какво да бъде последващото лекуване.
За кардиохирурзите от УМБАЛ „ Проф. доктор Александър Чирков “ сходни интервенции не са необичайност. Преди два месеца лекарите отстраниха 10 см. израстък от сърцето на 40-годишен пациент. Тези формирания могат да бъдат доброкачествени, злокачествени, в резултат на инфекции и вродени положения.
Средно годишно там постъпват към 10-12 пациента с сходна диагноза.
Източник: dariknews.bg
КОМЕНТАРИ




