Спешна ортопедична операция в Пловдив спаси живота на възрастна пациентка
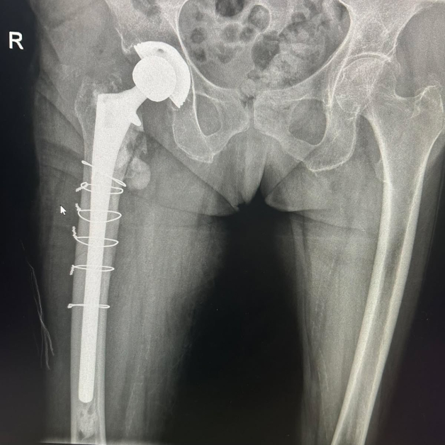
Животът на 80-годишна жена беше избавен след незабавна и сполучлива интервенция в Университетската многопрофилна болница за интензивно лекуване Каспела в Пловдив. Пациентката е с изкуствена тазобедрена става, сложена преди 7 години, само че след рухване е получила съществено строшаване на бедрената кост тъкмо под импланта.
Прочетете още
Случаят е извънредно комплициран, защото костните фрагменти са били рисково покрай огромни кръвоносни съдове. Това е наложило незабавна хирургична интервенция.
Екипът на болничното заведение, отпред с доктор Димитър Генов и с присъединяване на доктор Благойчо Постоловски, е направил интервенцията бързо и точно. Използвано е особено ревизионно стебло, серклаж и циментна фиксация, с цел да се обезпечи непоклатимост на крайника.
Благодарение на сполучливата намеса, пациентката е могла да се изправи още на идващия ден, с отчасти натоварване на оперирания крайник – нещо извънредно значимо за възобновяване й.
От болничното заведение акцентират, че навременната реакция и опитът на екипа са предотвратили съществени затруднения и дълъг интервал на обездвижване, които постоянно съпътстват сходни фрактури при възрастни хора.
Прочетете още
Случаят е извънредно комплициран, защото костните фрагменти са били рисково покрай огромни кръвоносни съдове. Това е наложило незабавна хирургична интервенция.
Екипът на болничното заведение, отпред с доктор Димитър Генов и с присъединяване на доктор Благойчо Постоловски, е направил интервенцията бързо и точно. Използвано е особено ревизионно стебло, серклаж и циментна фиксация, с цел да се обезпечи непоклатимост на крайника.
Благодарение на сполучливата намеса, пациентката е могла да се изправи още на идващия ден, с отчасти натоварване на оперирания крайник – нещо извънредно значимо за възобновяване й.
От болничното заведение акцентират, че навременната реакция и опитът на екипа са предотвратили съществени затруднения и дълъг интервал на обездвижване, които постоянно съпътстват сходни фрактури при възрастни хора.
Източник: trafficnews.bg
КОМЕНТАРИ




